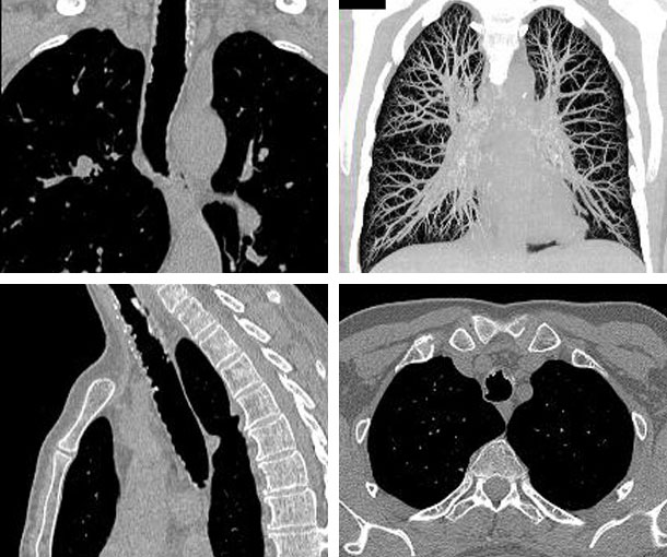
Chest CT Appearances
Tracheobronchopathia Osteochondroplastica (TO) CT Findings
- Nodules in the submucosa
- Typically 1-2mm in size
- Calcification is common
- Nodules arise from inner tracheal wall and into airway lumen
- Occurs in lower 2/3 of trachea and central bronchi
- Ossification
- Posterior membranous wall is usually unaffected

Other Information About Tracheobronchopathia Osteochondroplastica (TO)
Etiology:
- Unknown
Epidemiology:
- Rare
- Typically presents in the 5th-6th decades of life
Presentation:
- Most cases are symptomatic and found incidentally or at autopsy
- Cough
- Dyspnea
- Hemoptysis
- Dysphonia
Prognosis:
- TO is benign but symptoms can be managed
Related Lectures:
CT of the Trachea: A Practical Approach - Part 2
