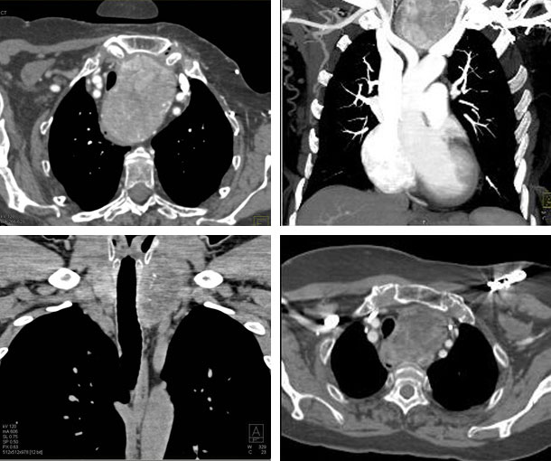
Chest CT Appearances
Substernal Goiter CT Findings
- About >50% of goiter’s volume extends below the thoracic inlet
- Most commonly extend into anterior mediastinum
- Arise from inferior pole of one thyroid lobe
- More commonly extends into right mediastinum
- Well-defined borders
- Most will contain calcifications in addition to cystic changes

Other Information About Substernal Goiter
Etiology:
- Iodine deficiency
- Exposure to certain chemicals
Epidemiology:
- Typically presents after age 50
- Female to male ratio of 4:1
Presentation:
- Choking
- Dyspnea
- Dysphagia
- Orthopnea
- Dysphonia
- Wheezing
- May be asymptomatic initially
Prognosis:
- A vast majority of substernal goiters are benign
- Surgical intervention is needed to prevent and/or ameliorate symptoms
Related Pearls: Thyroid Gland
Related Lectures:
CT of Anterior Mediastinal Masses: Core Concepts - Part 1
