
- 7
- 9
- 0
To Quiz Yourself: Select OFF by clicking the button to hide the diagnosis & additional resources under the case.
Quick Browser: Select ON by clicking the button to hide the additional resources for faster case review.
CASE NUMBER
84
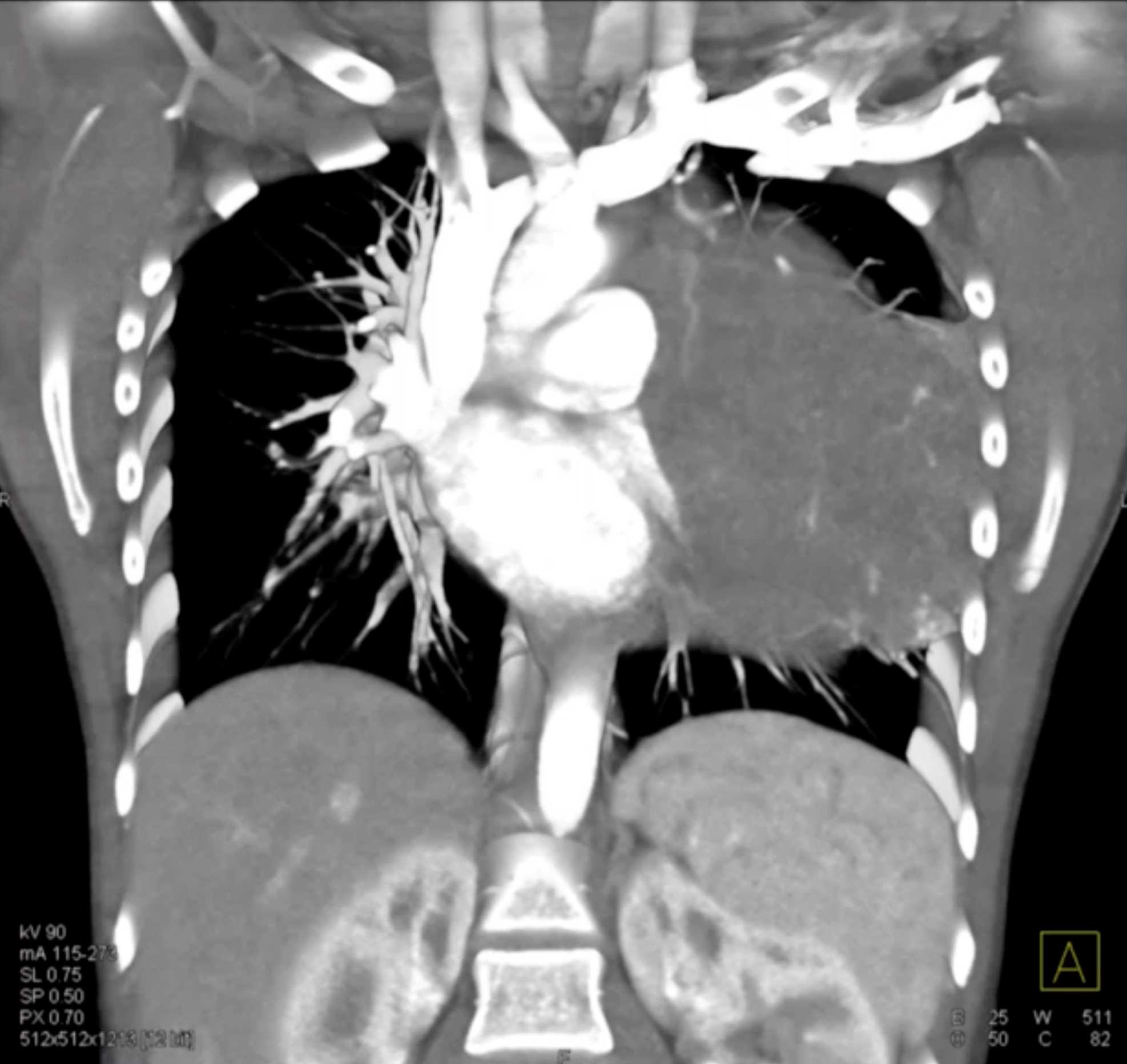
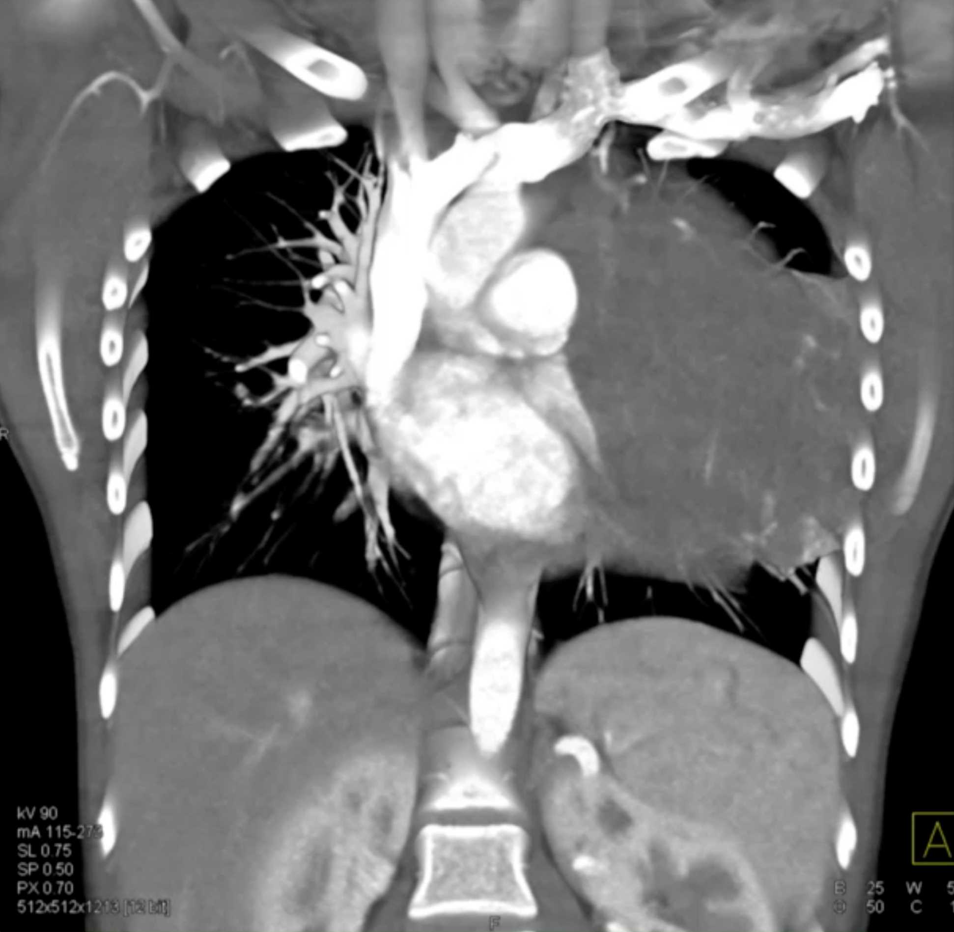
Diagnosis
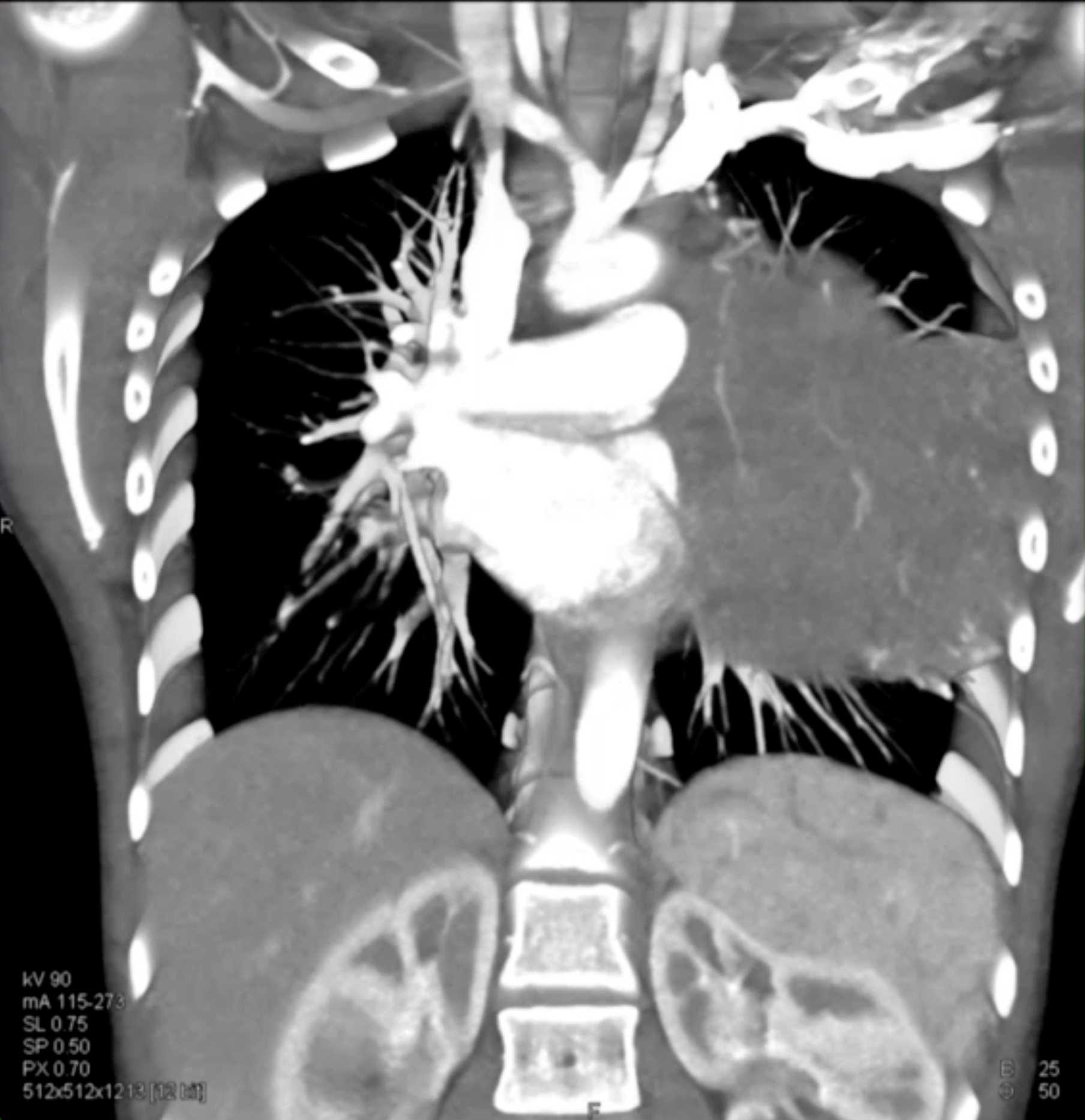
Subtle Adenocarcinoma Pancreas
THIS IS CASE
84
OF
84
