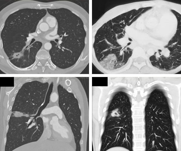
Chest CT Appearances
Adenocarcinoma In Situ (AIS) CT Findings
- Ground glass nodule
- Single mass
- Diffuse consolidation
- Multinodular forms

Other Information About Adenocarcinoma In Situ (AIS)
Etiology:
- Smoking
- Adenocarcinoma in situ is most common form of lung cancer in non-smokers
Epidemiology:
- More common in females
- More common in patients of Asian ancestry
- Typically presents in the 7th decade of life
- Non-smokers are more susceptible to AIS than other lung cancers
Presentation:
- Mostly asymptomatic
- Cough
- Hemoptysis
- Dyspnea
- Chest Pain
Prognosis:
- Adenocarcinoma in situ is minimally invasive
- Prognosis after surgery is usually excellent
Related Pearls: Lung Cancer
