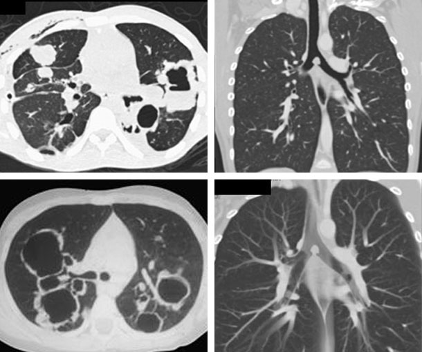
Chest CT Appearances
Laryngotracheobronchial Papillomatosis CT Findings
- Focal or diffuse airway narrowing
- Nodular lesions that can be pedunculated or sessile
- Polypoid lesions
- Most typically seen in the larynx but can affect any part of the tracheobronchial tree

Other Information About Laryngotracheobronchial Papillomatosis
Etiology:
- Caused by HPV
Epidemiology:
- Rare
- Bimodal: papillomatosis usually occurs before age 5 or after age 14
Presentation:
- Dysphonia
- Stridor
- Dyspnea
- Dysphagia
- Cough
Prognosis:
- Papillomatosis is a benign condition
- Papillomas can be removed and medication and prevent them from recurring
- Recurrence is common
