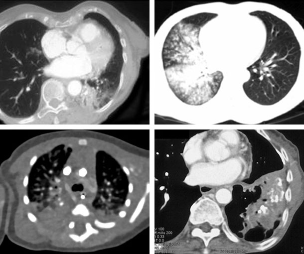
Chest CT Appearances
Aspiration Pneumonia CT Findings
- Alveolar infiltrates
- Low attenuation intrabronchial material
- Centrilobular nodules
- Ground glass attenuation
- Atelectasis
- Bronchiolectasis
- More common in right lung and lower lobes
- May find foreign body, which can be soft tissue or fat

Other Information About Aspiration Pneumonia
Etiology:
- Aspirating (ingesting) harmful bacteria into the lungs
Epidemiology:
- Anyone is susceptible to aspiration pneumonia but usually older patients and patients with swallowing difficulties
Presentation:
- Dyspnea
- Wheezing
- Fever
- Chest pain
- Coughing up phlegm, pus and/or blood
- Dysphagia
- Breath odor
Prognosis:
- Can typically be treated with antibiotics
