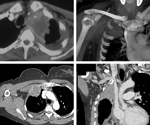
Chest CT Appearances
Pancoast Tumor CT Findings
- Pancoast tumors are most commonly adenocarcinomas
- Pleural thickening
- Asymmetry of the apical cap(s) > 5mm
- Bone destruction
- May invade the thoracic wall or spine

Other Information About Pancoast Tumors
Etiology:
- The etiology of Pancoast tumors is similar to that of lung cancer
- Smoking
- Exposure to secondary smoke, asbestos, radon gas, heavy metals, and other substances
Epidemiology:
- Typically presents in the 6th decade of life
- More common in males
Presentation:
- Sharp pain that can affect the upper ribs, shoulder, neck, and/or arm
- Arm weakness
- The hand and digits may experience weakness, loss of dexterity, tingling, and/or numbness
- Symptoms typically present unilaterally
- Weight loss
- Can cause Horner Syndrome
Prognosis:
- The 5-year relative survival rate after resection is about 30-50%
