
- 7
- ,
- 3
- 0
- 5
To Quiz Yourself: Select OFF by clicking the button to hide the diagnosis & additional resources under the case.
Quick Browser: Select ON by clicking the button to hide the additional resources for faster case review.
CASE NUMBER
839
Diagnosis
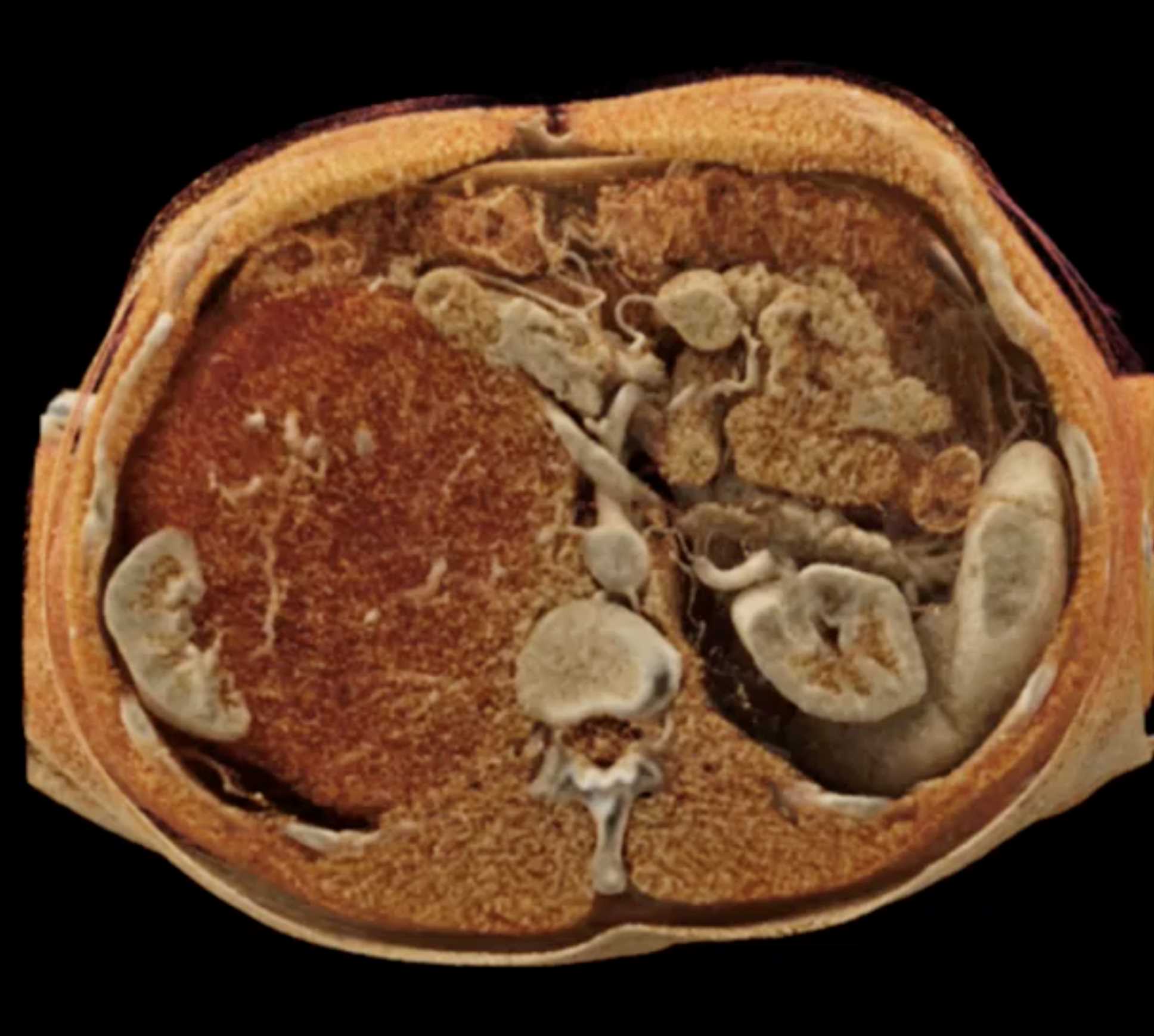
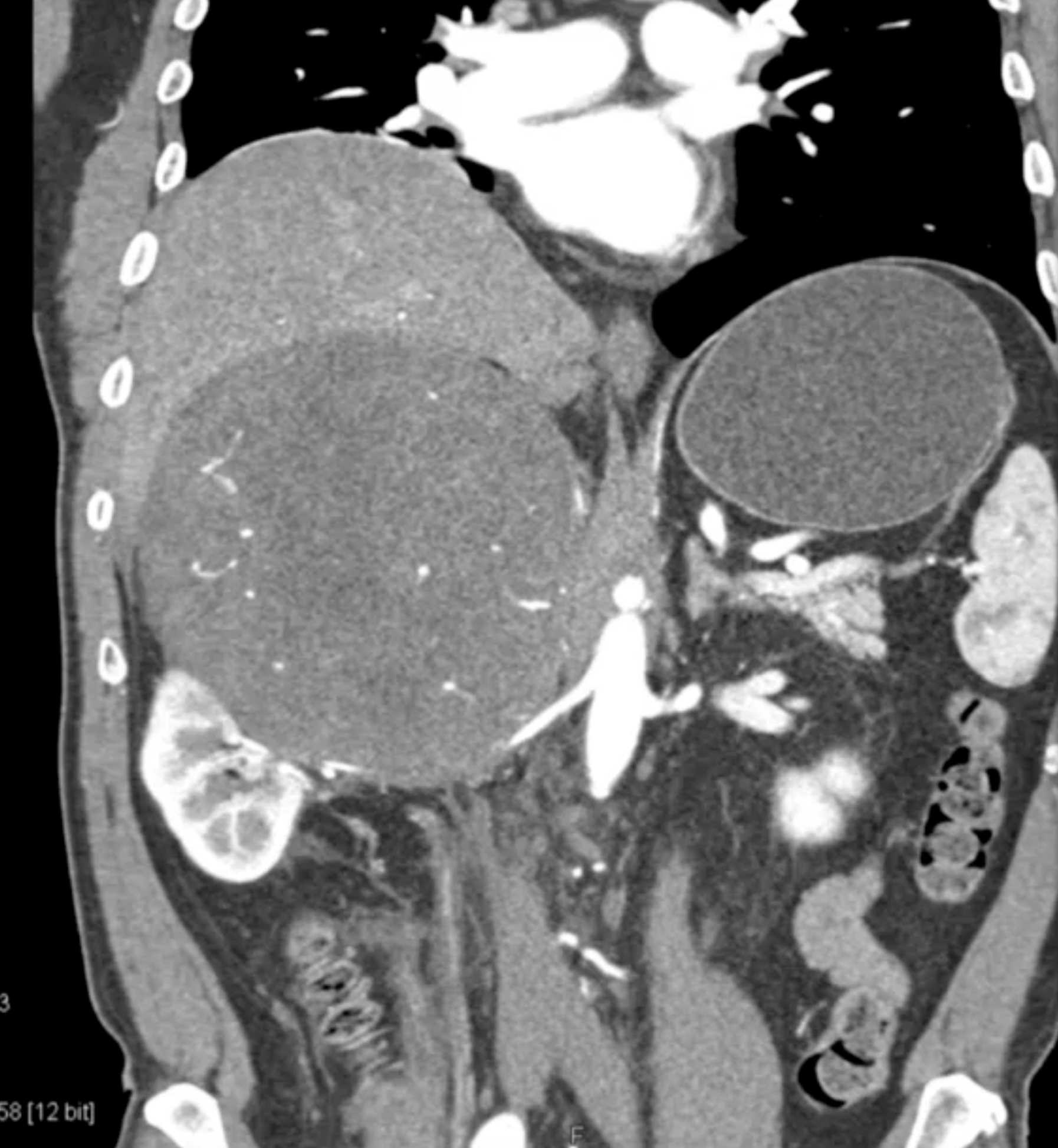
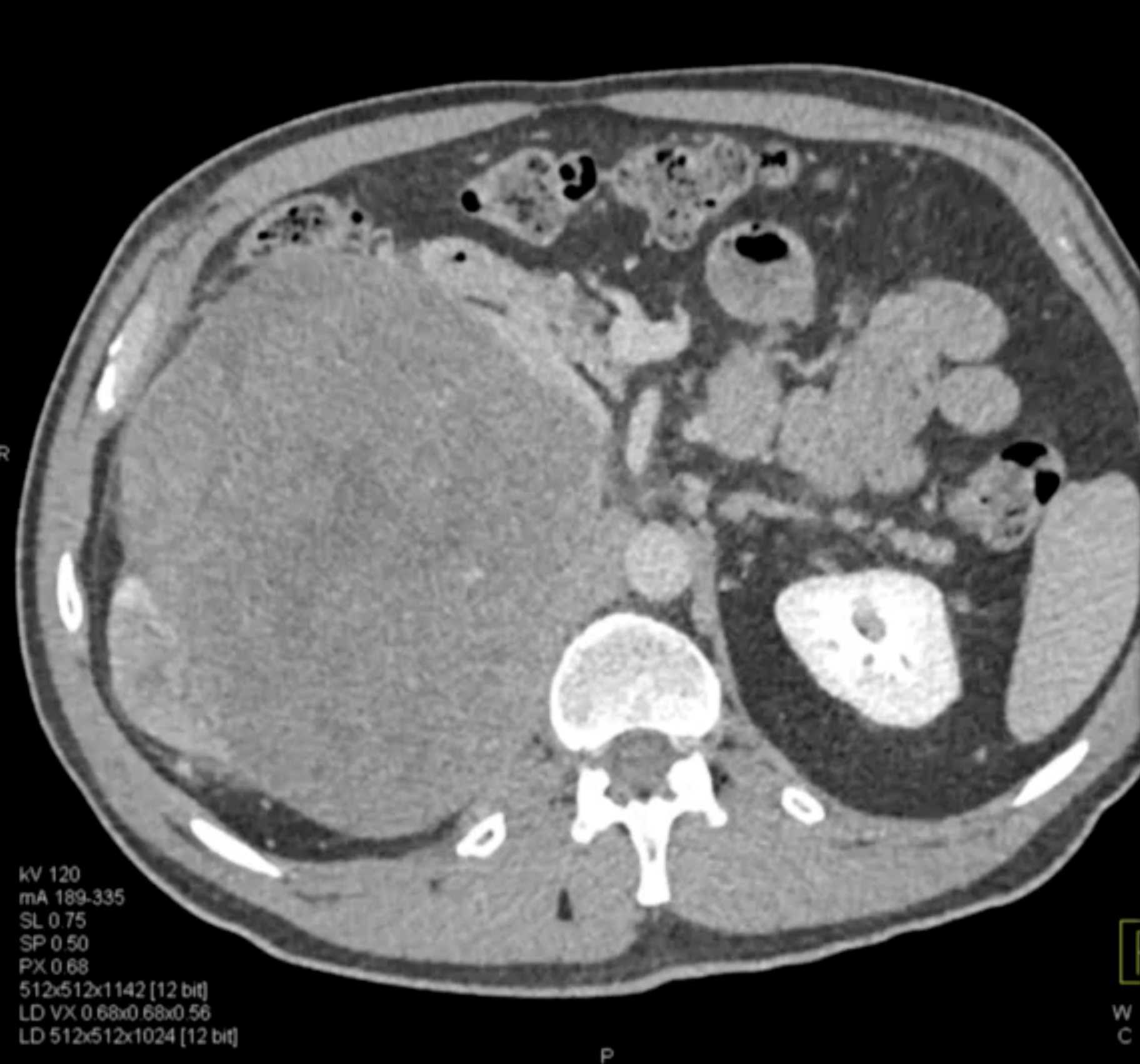
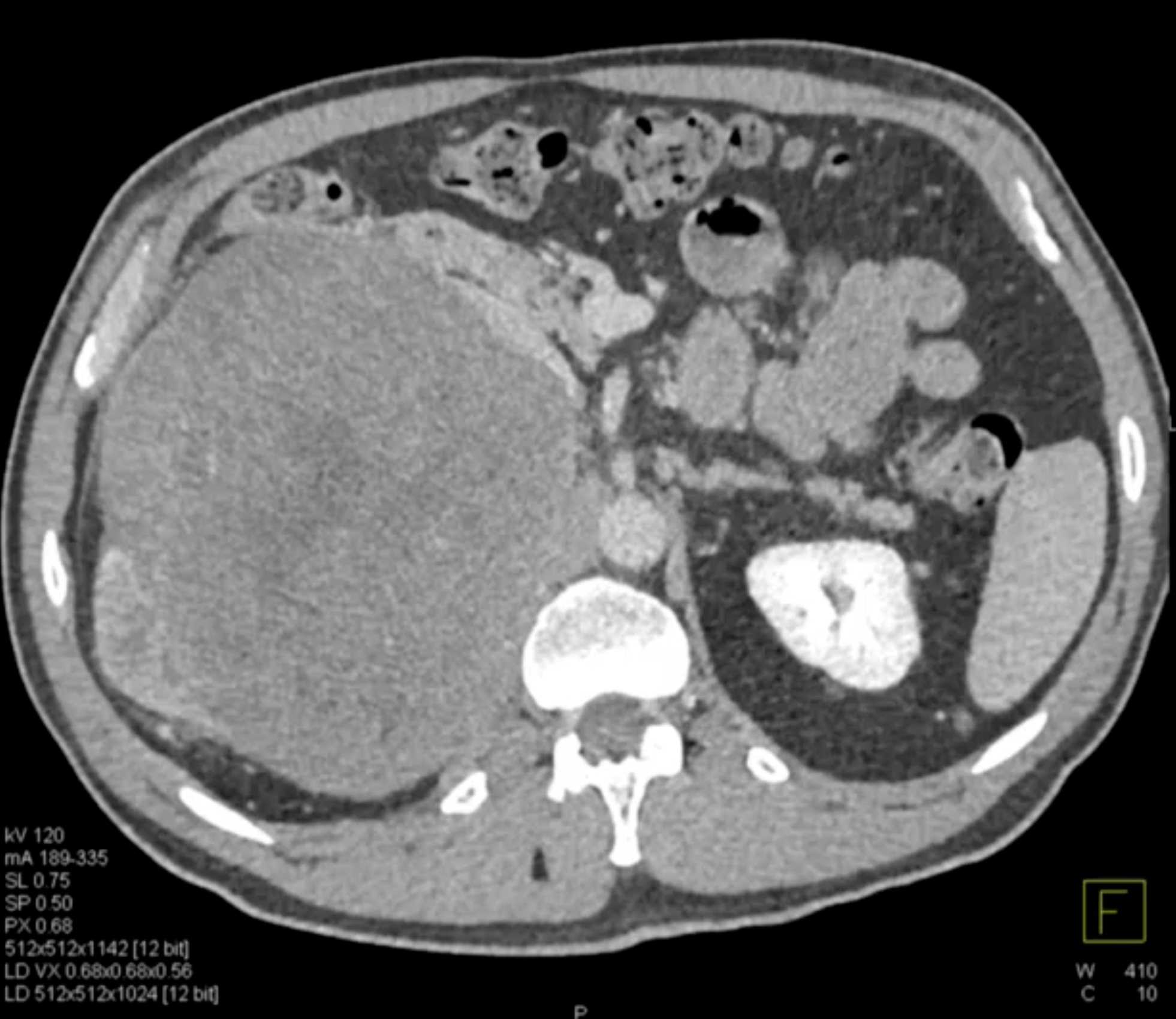
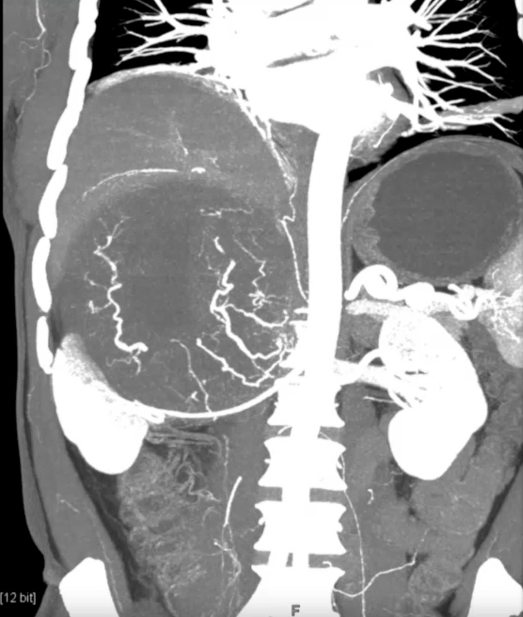
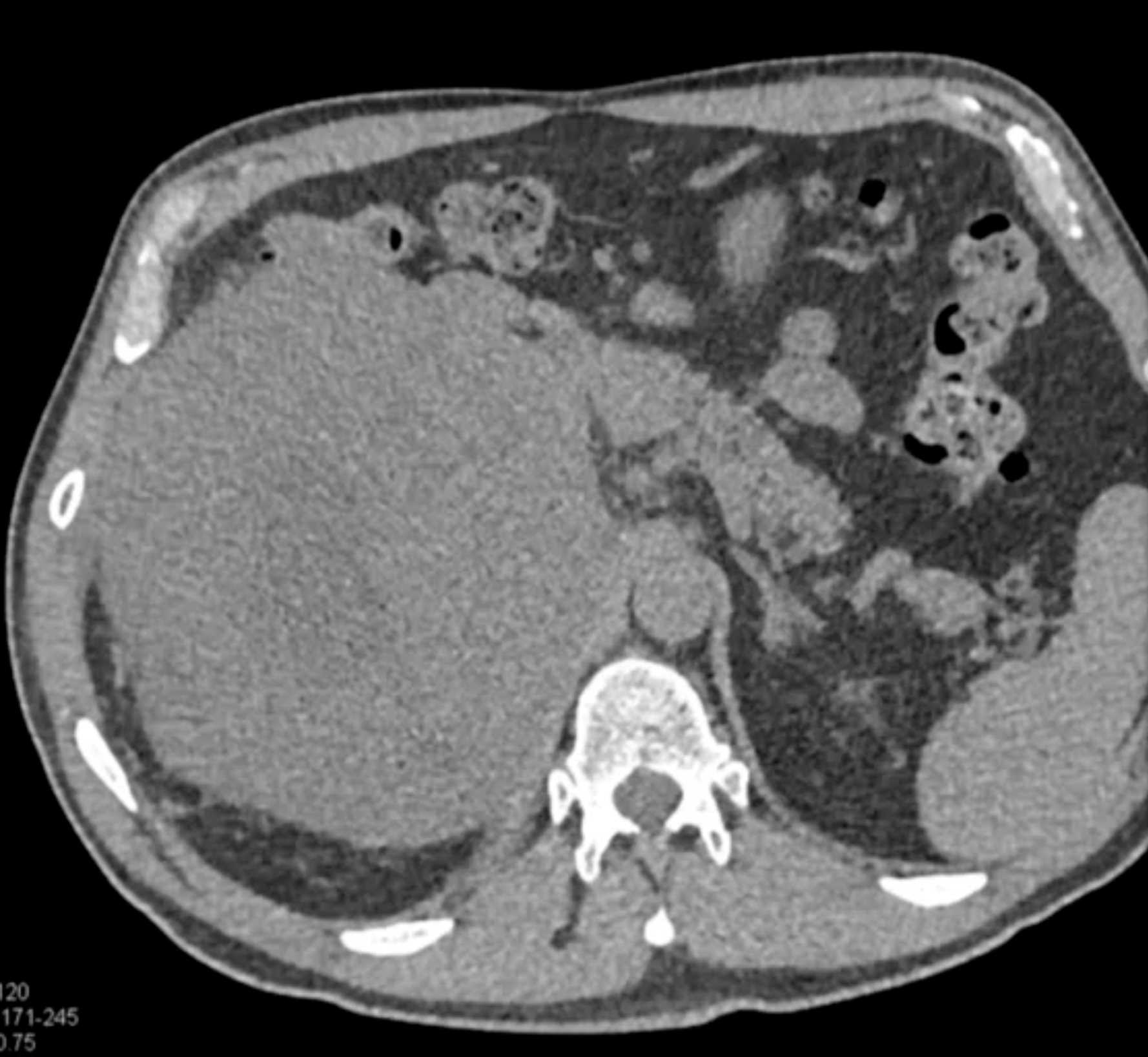
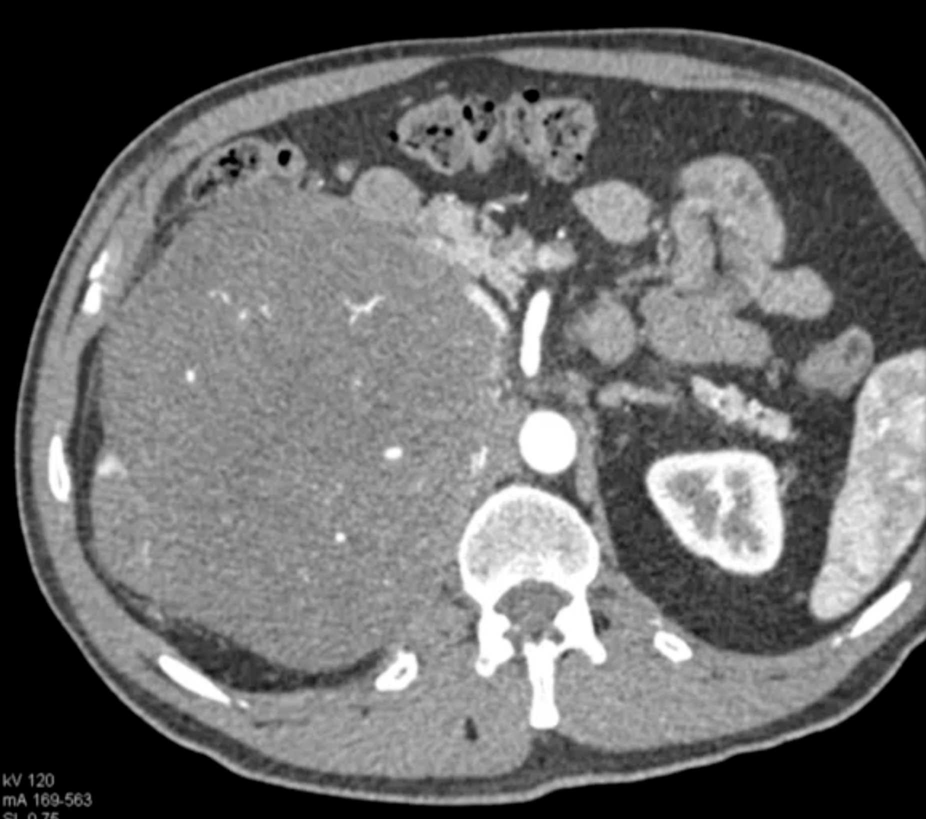
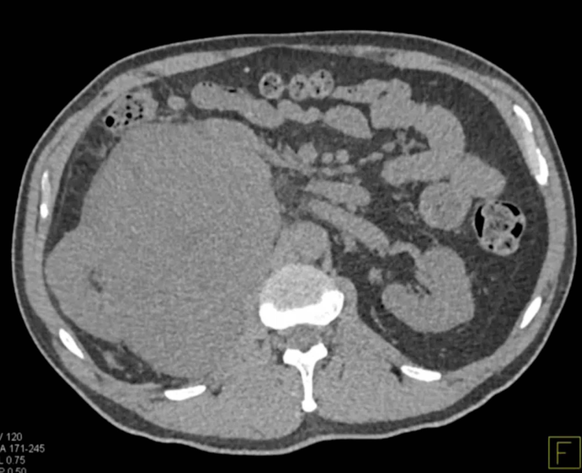
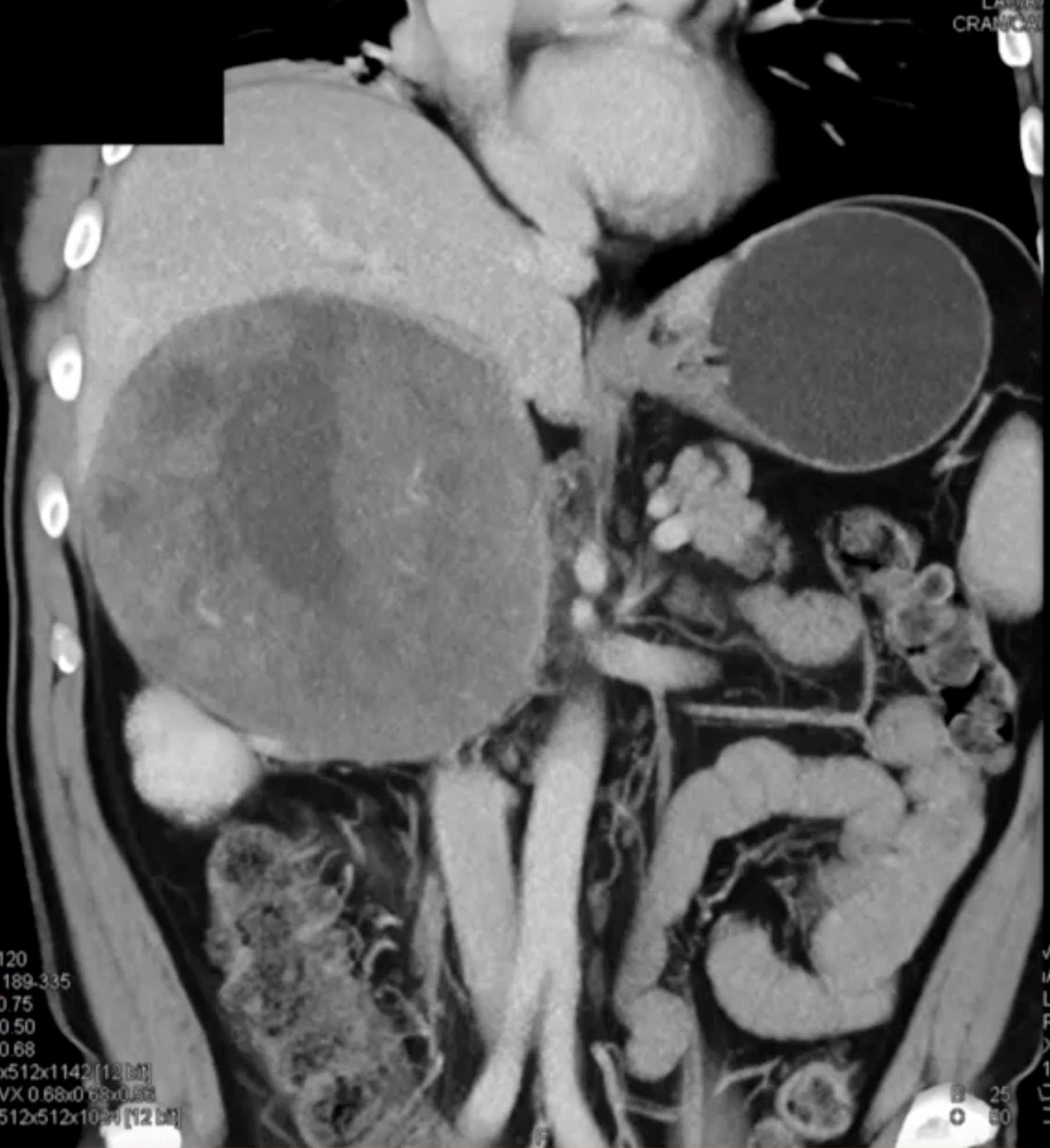
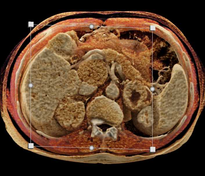
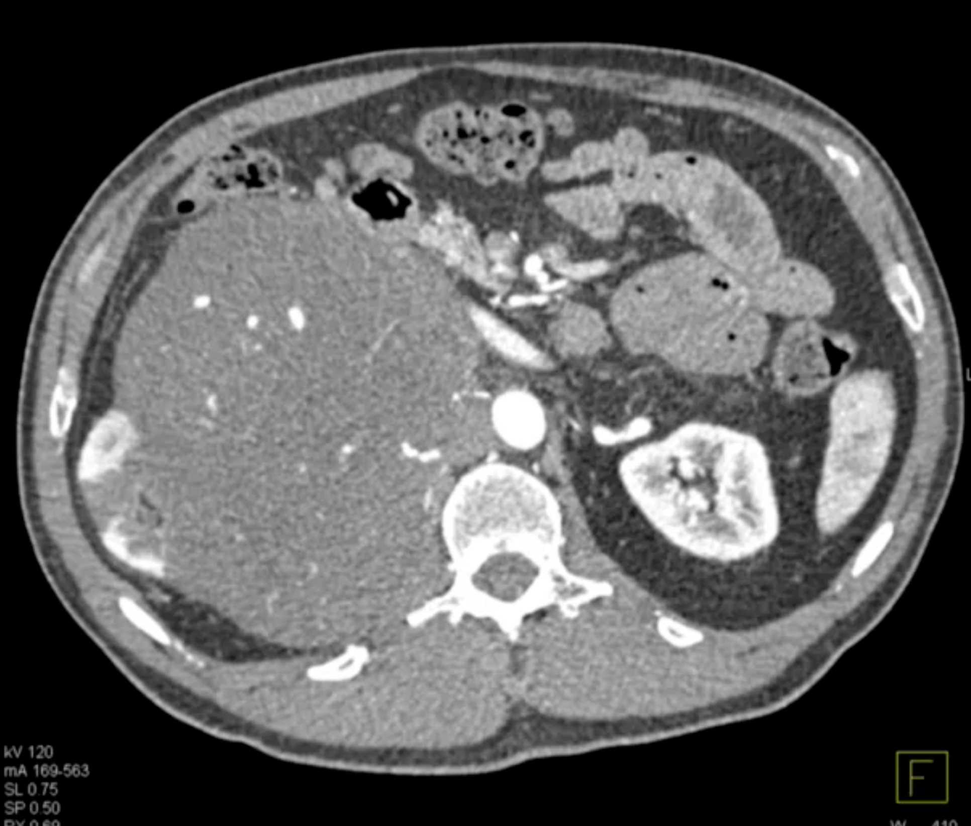
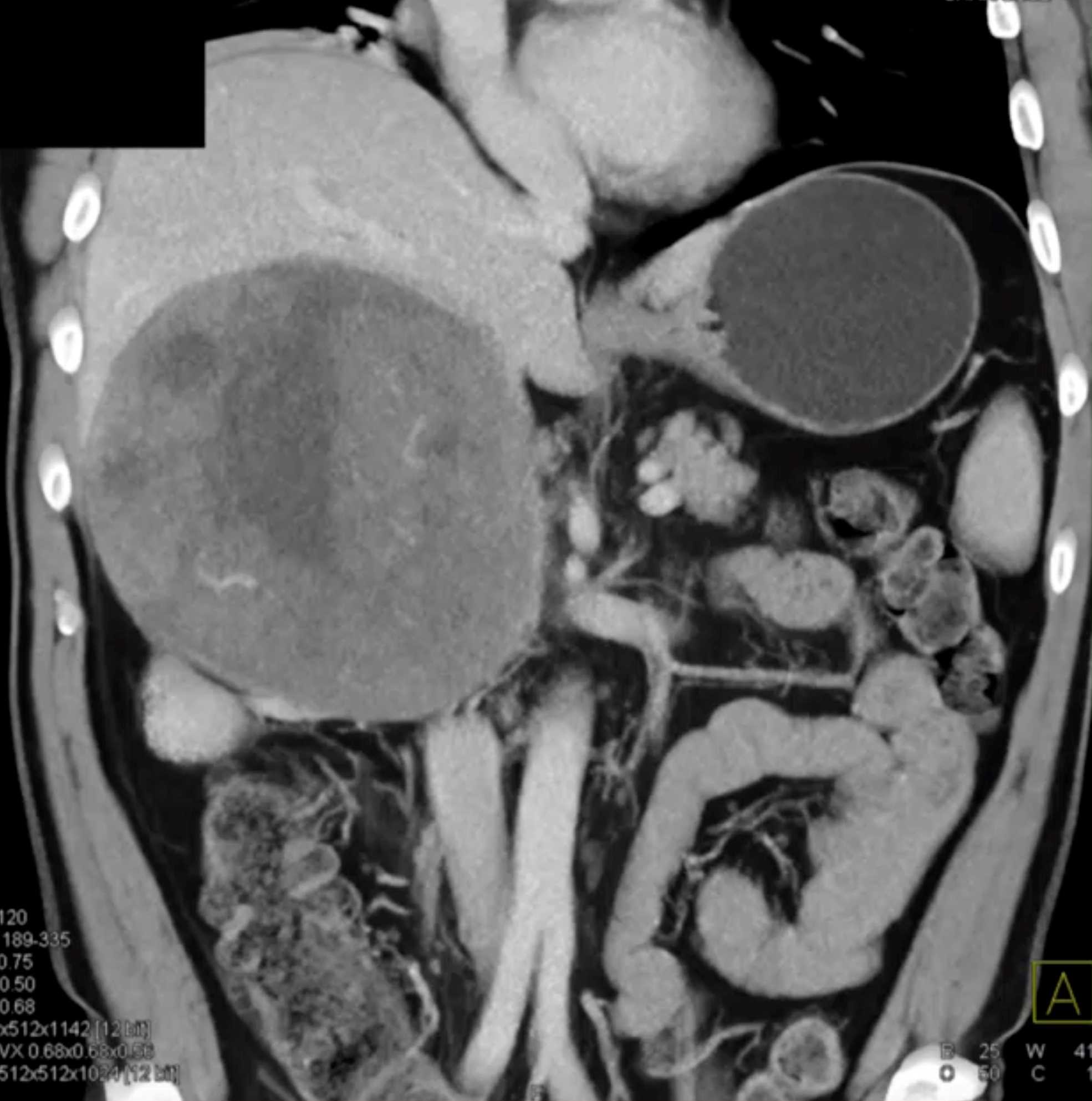
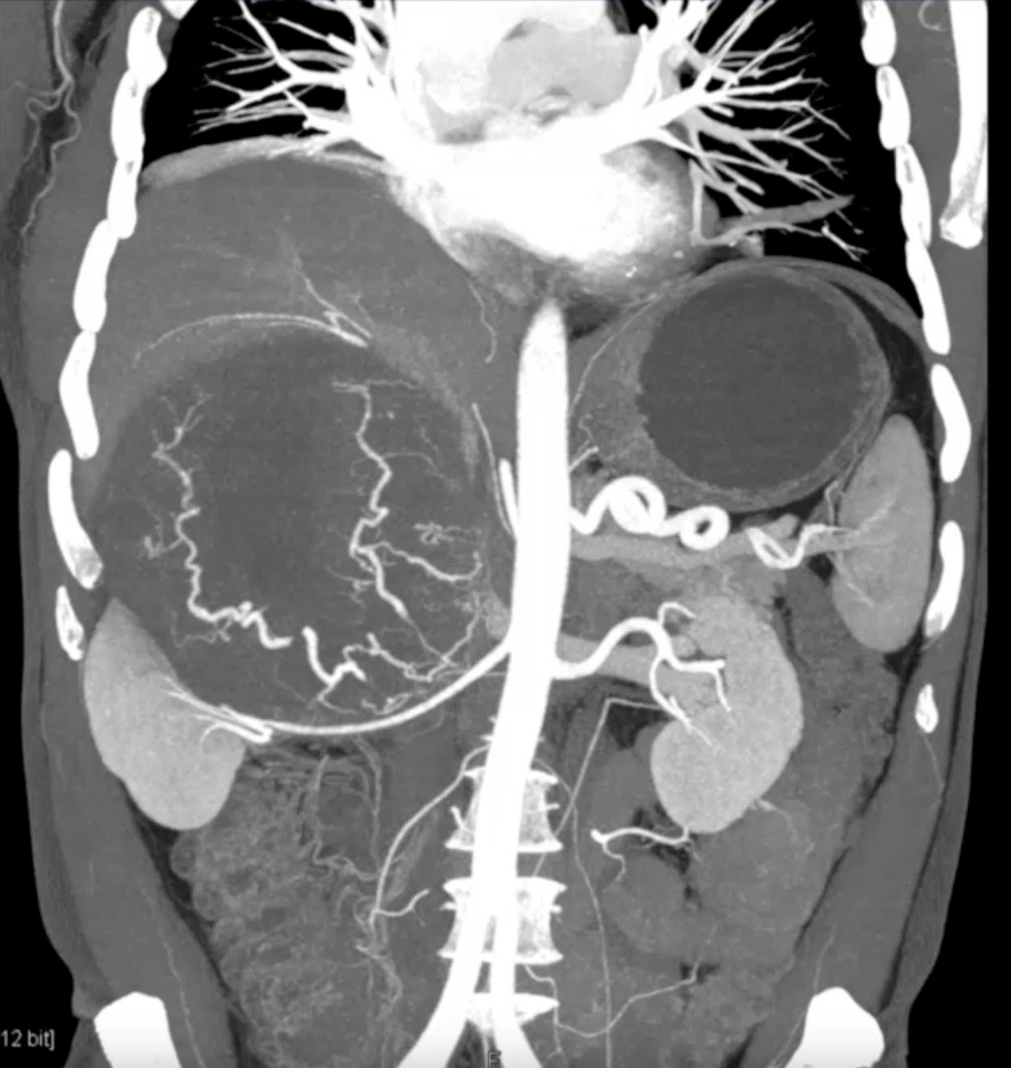
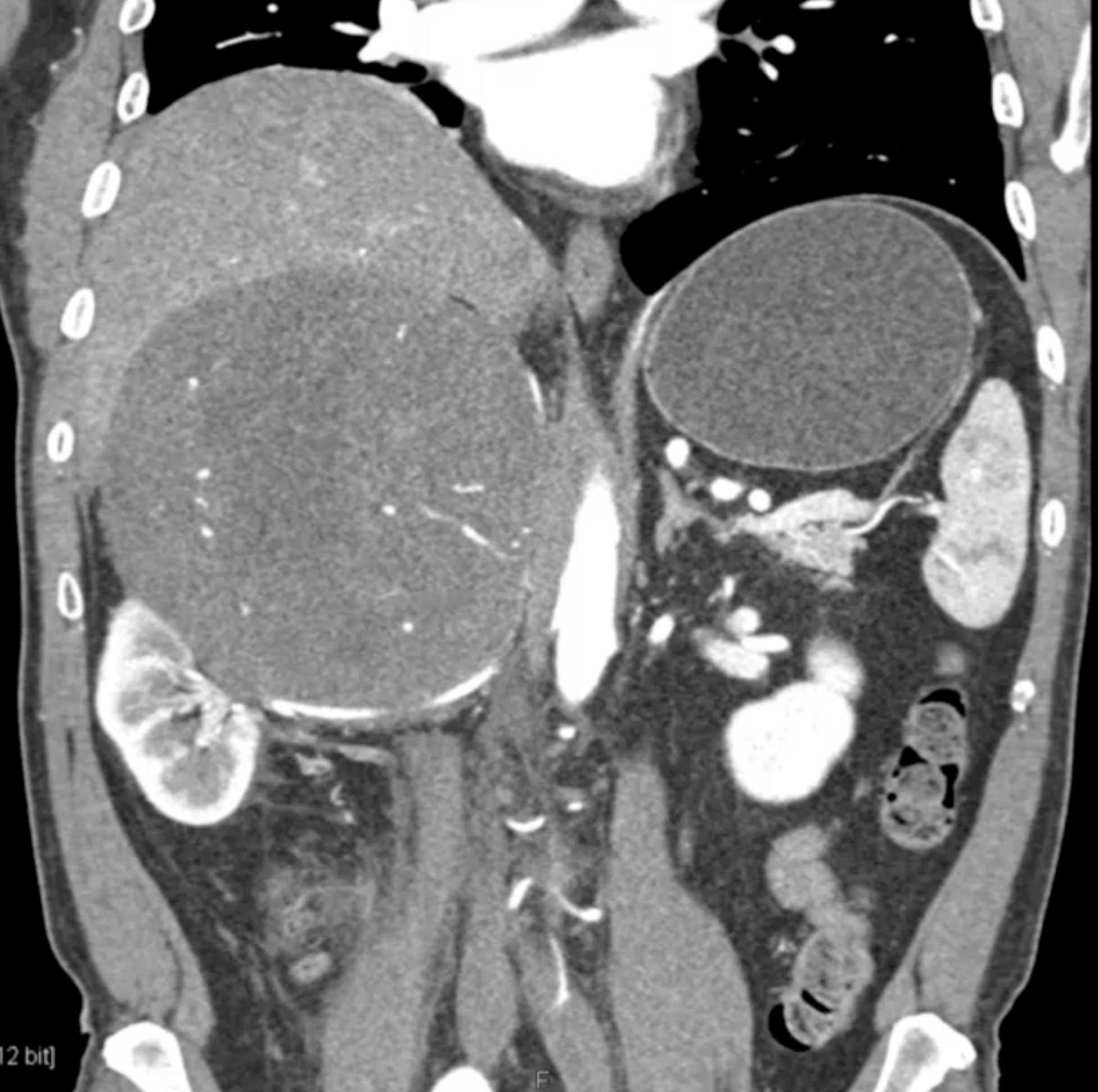
Left Adrenal Metastases from Renal Cell Carcinoma
THIS IS CASE
839
OF
839
