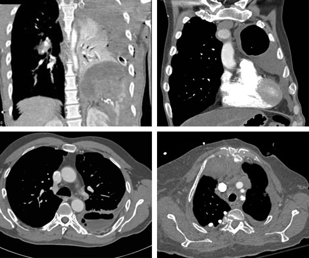
Chest CT Appearances
Pleural Empyema CT Findings
- Atypical pleural effusions along the mediastinum
- Pleural enhancement
- Pleural thickening > 4mm
- Fissure loculations
- Fat stranding
- Gas bubbles or microbubbles in the pleural space
- Layers of the pleura split around a collection of fluid (“split pleura” sign)

Other Information About Pleural Empyema
Etiology:
- Most common cause is bacterial pneumonia
- Less common causes include tuberculosis, lung abscess, and chest trauma or surgery
Epidemiology:
- Anyone is susceptible to pleural empyema
Presentation:
- Chest pain
- Dyspnea
- Cough
- Fever
- Fatigue
- Weight loss
- Malaise
Prognosis:
- Must be treated promptly
- Treated patients usually have a good prognosis
- Patients with comorbidities have an increased rate of mortality
