Chest CT Appearances
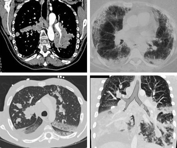
Pulmonary Lymphoma CT Findings
- Pulmonary consolidation with dilated air bronchograms
- Solid or semisolid pulmonary nodule(s)
- Peribronchovascular interstitial thickening
- Can be unilateral or bilateral
- May have ground-glass attenuation with “halo” sign

Other Information About Pulmonary Lymphoma
Etiology:
- Unknown
Epidemiology:
- Rare
- Typically presents after 30 years of age
Presentation:
- May be asymptomatic
- Cough
- Dyspnea
- Chest pain
- Wheezing
Prognosis:
- The 5-year relative survival rate for primary pulmonary MALT lymphoma is close to 90%
Related Pearls: Lymphoma
