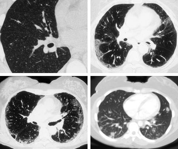
Chest CT Appearances
Cryptogenic Organizing Pneumonia (COP) CT Findings
- Ground glass opacities (GGO)
- Granulation tissue in the bronchiolar lumen
- Bilateral basal airspace consolidation
- Bronchial wall thickening
- Cylindrical bronchial dilatation
- Centrilobular nodules
- Nodules may be up to 5mm in diameter
- Alveoli

Other Information About Cryptogenic Organizing Pneumonia (COP)
Etiology:
- Unknown
Epidemiology:
- Typically presents in the 5th-6th decades of life
Presentation:
- Cough
- Fever
- Shortness of breath
- Presentation is similar to that of influenza
Prognosis:
- Medication and/or surgery may be used to treat COP
- Prognosis after treatment is excellent
