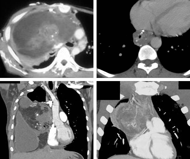
Chest CT Appearances
Mediastinal Teratoma CT Findings
- Well-demarcated mediastinal mass
- Heterogeneous
- Lobulated structure
- Cystic areas with fat or fluid contents
- Areas of dense calcifications
- SVC obstruction
- If a teratoma ruptures then it may have fat globules

Other Information About Mediastinal Teratoma
Etiology:
- Unknown
- Associated with Klinefelter syndrome
Epidemiology:
- Typically presents in the 4th decade of life but can occur at any age
Presentation:
- Typically asymptomatic and are found incidentally
- Chest pain
- Cough
- Dyspnea
Prognosis:
- Mediastinal teratoma is usually benign
- Surgical removal is typically recommended to prevent malignant transformation
Related Pearls: Mediastinal Masses
Related Lectures:
CT of Anterior Mediastinal Masses: Core Concepts - Part 3
