
- 3
- 2
- 3
- ,
- 5
- 3
- 7
Explore our numerous CT Scans, MRI, and X-Rays with the diagnosis in different anatomical regions and other Body CT topics. These case studies are designed for the education of medical professionals and radiologist.
Adrenal
+ 7,305 Teaching File Images
+ 10,683,053 Views
+ Most Recent Case: Left Adrenal Metastases From ...
+ 7,305 Teaching File Images
+ 10,683,053 Views
+ Most Recent Case: Left Adrenal Metastases From ...
Body MR
+ 2,309 Teaching File Images
+ 4,433,506 Views
+ Most Recent Case: Carcinoma of the Head of the ...
+ 2,309 Teaching File Images
+ 4,433,506 Views
+ Most Recent Case: Carcinoma of the Head of the ...
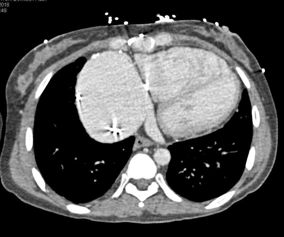
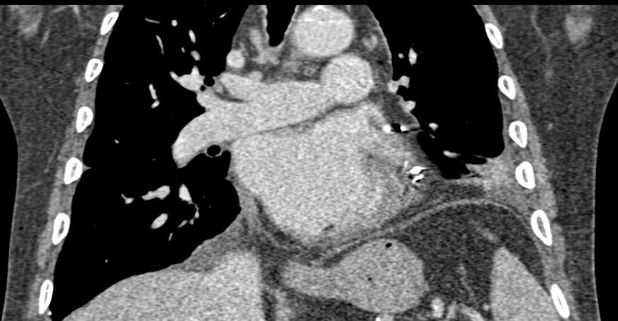
Cardiac
+ 24,412 Teaching File Images
+ 29,573,037 Views
+ Most Recent Case: Post Cardiac Surgery Changes
+ 24,412 Teaching File Images
+ 29,573,037 Views
+ Most Recent Case: Post Cardiac Surgery Changes
Chest
+ 30,082 Teaching File Images
+ 42,062,515 Views
+ Most Recent Case: Cinematic Rendering of the As...
+ 30,082 Teaching File Images
+ 42,062,515 Views
+ Most Recent Case: Cinematic Rendering of the As...
CT/PET
+ 790 Teaching File Images
+ 2,401,056 Views
+ Most Recent Case: Subtle Adenocarcinoma Pancrea...
+ 790 Teaching File Images
+ 2,401,056 Views
+ Most Recent Case: Subtle Adenocarcinoma Pancrea...
Esophagus
+ 1,239 Teaching File Images
+ 3,908,181 Views
+ Most Recent Case: Esophageal Diverticulum
+ 1,239 Teaching File Images
+ 3,908,181 Views
+ Most Recent Case: Esophageal Diverticulum
Gastrointestinal
+ 11,590 Teaching File Images
+ 14,578,357 Views
+ Most Recent Case: Bladder Rupture With Contrast...
+ 11,590 Teaching File Images
+ 14,578,357 Views
+ Most Recent Case: Bladder Rupture With Contrast...
Genitourinary
+ 13,302 Teaching File Images
+ 15,146,772 Views
+ Most Recent Case: Bladder Cancer With Active Bl...
+ 13,302 Teaching File Images
+ 15,146,772 Views
+ Most Recent Case: Bladder Cancer With Active Bl...
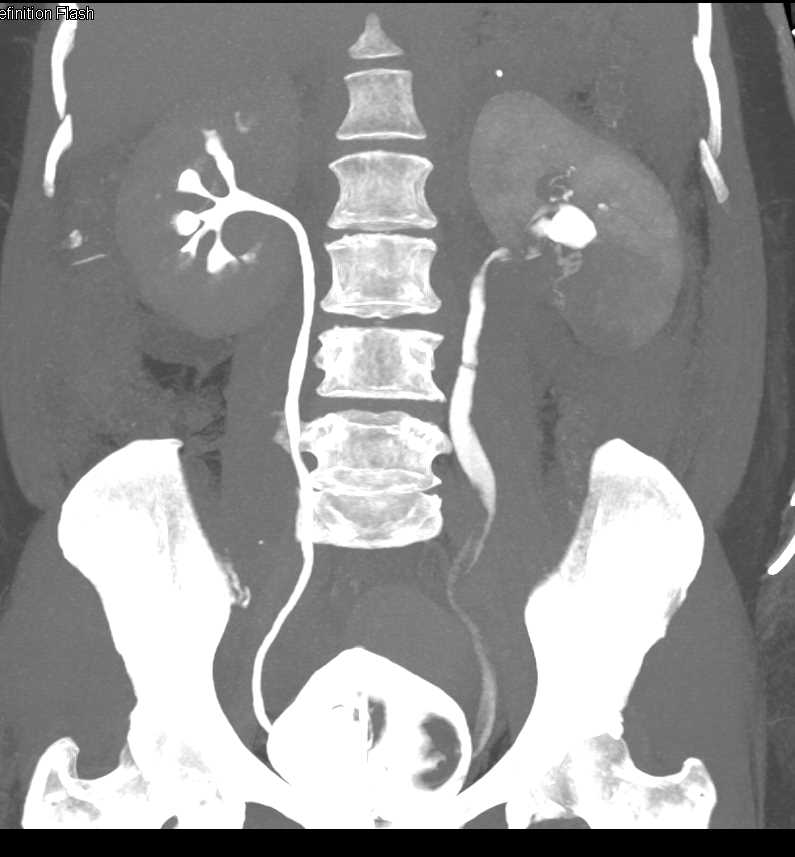
Kidney
+ 52,314 Teaching File Images
+ 60,046,688 Views
+ Most Recent Case: Transitional Cell Carcinoma L...
+ 52,314 Teaching File Images
+ 60,046,688 Views
+ Most Recent Case: Transitional Cell Carcinoma L...
Liver
+ 33,239 Teaching File Images
+ 42,819,408 Views
+ Most Recent Case: Granulomatous Disease Liver a...
+ 33,239 Teaching File Images
+ 42,819,408 Views
+ Most Recent Case: Granulomatous Disease Liver a...
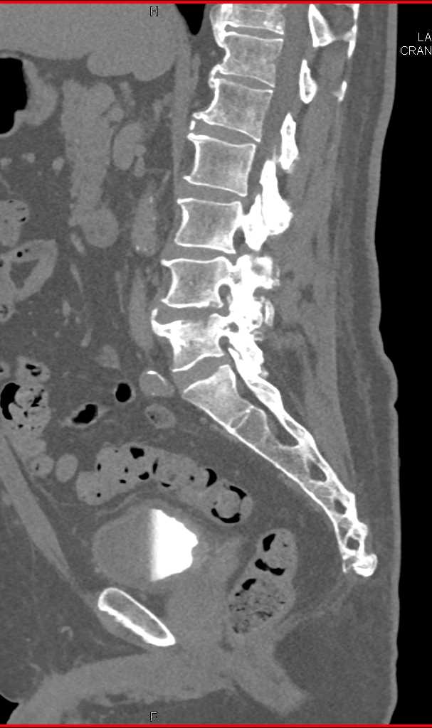
Musculoskeletal
+ 35,137 Teaching File Images
+ 40,293,676 Views
+ Most Recent Case: Infection At L4-L5 Interspace...
+ 35,137 Teaching File Images
+ 40,293,676 Views
+ Most Recent Case: Infection At L4-L5 Interspace...
Pancreas
+ 46,879 Teaching File Images
+ 37,819,174 Views
+ Most Recent Case: Various Cinematic Renderings
+ 46,879 Teaching File Images
+ 37,819,174 Views
+ Most Recent Case: Various Cinematic Renderings
Pediatric
+ 480 Teaching File Images
+ 1,521,052 Views
+ Most Recent Case: Ductus Bump But Patent Ductus...
+ 480 Teaching File Images
+ 1,521,052 Views
+ Most Recent Case: Ductus Bump But Patent Ductus...
Small Bowel
+ 19,036 Teaching File Images
+ 18,253,137 Views
+ Most Recent Case: Carcinoid Tumor With Desmopla...
+ 19,036 Teaching File Images
+ 18,253,137 Views
+ Most Recent Case: Carcinoid Tumor With Desmopla...
Spleen
+ 8,687 Teaching File Images
+ 13,297,238 Views
+ Most Recent Case: Sickle Cell Disease With Auto...
+ 8,687 Teaching File Images
+ 13,297,238 Views
+ Most Recent Case: Sickle Cell Disease With Auto...
Stomach
+ 11,598 Teaching File Images
+ 14,759,907 Views
+ Most Recent Case: Ulcerating Gastric GIST Tumor...
+ 11,598 Teaching File Images
+ 14,759,907 Views
+ Most Recent Case: Ulcerating Gastric GIST Tumor...
Trauma
+ 14,319 Teaching File Images
+ 18,434,905 Views
+ Most Recent Case: Trauma to Right Thigh With SF...
+ 14,319 Teaching File Images
+ 18,434,905 Views
+ Most Recent Case: Trauma to Right Thigh With SF...
Vascular
+ 67,036 Teaching File Images
+ 65,886,433 Views
+ Most Recent Case: Cinematic Rendering of the As...
+ 67,036 Teaching File Images
+ 65,886,433 Views
+ Most Recent Case: Cinematic Rendering of the As...
Veterinary
+ 2,248 Teaching File Images
+ 2,979,050 Views
+ Most Recent Case: Turtle Lungs With Bronchial T...
+ 2,248 Teaching File Images
+ 2,979,050 Views
+ Most Recent Case: Turtle Lungs With Bronchial T...
Virtual Imaging
+ 218 Teaching File Images
+ 1,764,525 Views
+ Most Recent Case: Virtual Colon: Large 1.6 Cm P...
+ 218 Teaching File Images
+ 1,764,525 Views
+ Most Recent Case: Virtual Colon: Large 1.6 Cm P...
X Rays
+ 316 Teaching File Images
+ 2,003,118 Views
+ Most Recent Case: Perforated Esophagus Due to F...
+ 316 Teaching File Images
+ 2,003,118 Views
+ Most Recent Case: Perforated Esophagus Due to F...
