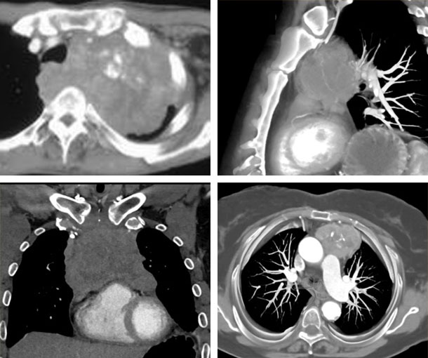
Chest CT Appearances
Thymic Carcinoma CT Findings
- Large prevascular mass
- Irregular shape
- Poorly marginated borders
- Areas of cystic change
- May have necrosis and/or hemorrhage
- “Drop metastases” indicate thymic carcinoma over lung cancer

Other Information About Thymic Carcinoma
Etiology:
- Unknown
Epidemiology:
- Typically presents after age 40
Presentation:
- Patients in the early stages may be asymptomatic
- Chest pain
- Cough
- Dyspnea
- Dysphagia
Prognosis:
- The 5-year relative survival rate for all thymus cancer is:
- Localized: 94%
- Regional: 79%
- Distant: 42%
- All SEER stages combined: 75%
Related Pearls: Thymus
Related Lectures:
CT of Anterior Mediastinal Masses: Core Concepts - Part 3
