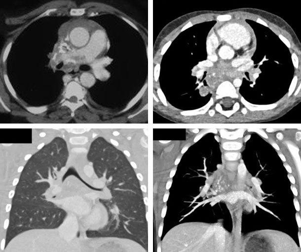
Chest CT Appearances
Histoplasmosis CT Findings
- Diffuse patchy infiltrates in one or several lobes
- Can be solitary or multiple
- Consolidations
- Hilar and mediastinal lymphadenopathy is common
- Nodes may vary in size and can be large
- Ground-glass opacities
- Cavitation
- Central necrosis
- Can calcify over time and become a histoplasmoma
- Can mimic other thoracic diseases

Other Information About Histoplasmosis
Etiology:
- Caused by the fungus Histoplasma
- Histoplasma is most commonly associated with bat or bird excrement
Epidemiology:
- Anyone is susceptible to histoplasmosis but individuals who disturb soil (farming, demolition, spelunking, etc) are more likely to get it
- Patients with HIV are more susceptible
- Infants and individuals older than 55 years are more susceptible to histoplasmosis
Presentation:
- Typically asymptomatic
- Fever
- Cough
- Dyspnea
- Chills and/or sweating
- Headache
- Chest pain
- Muscle ache
Prognosis:
- Histoplasmosis may go away on its own
- More severe cases can be treated with medication
Related Lectures:
CT of Anterior Mediastinal Masses: Core Concepts - Part 2
