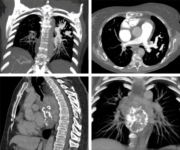
Chest CT Appearances
Fibrosing Mediastinitis CT Findings
- Mediastinal widening
- Infiltrative soft tissue
- Enlarged lymph nodes
- Tracheal narrowing
- Narrowing of the bronchi
- Can encase the pulmonary arteries
- Granulomatous (“focal”):
- Focal, localized mass
- Dense calcification
- Encapsulated
- Non-granulomatous (“diffuse”):
- Diffuse infiltration
- Does not calcify
- Less common

Other Information About Fibrosing Mediastinitis
Etiology:
- Prior exposure to histoplasmosis
- May be idiopathic
Epidemiology:
- Rare
- Typically presents in the 3rd-4th decade of life
- More common in females
Presentation:
- Cough
- Chest pain
- Dyspnea
- Facial swelling (SVC syndrome)
Prognosis:
- Fibrosing mediastinitis is benign
Related Pearls: Mediastinal Masses
Related Lectures:
CT of the Chest with a Focus on the Mediastinum: Interesting Cases and What We Can Learn From Them - Part 2
CT of the Esophagus: Pearls and Pitfalls in the ER - Part 2
