Chest CT Appearances
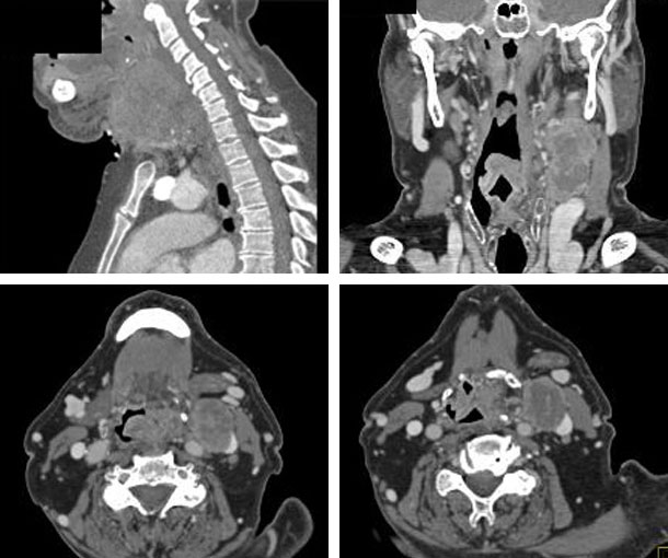
Laryngeal Cancer CT Findings
- Asymmetrical soft tissue thickening
- Abnormal enhancement
- Bulky mass
- Exophytic, infiltrative mass
- Obliteration of the normal fat planes
- Most originate in the laryngeal lining

Other Information About Laryngeal Cancer
Etiology:
- Tobacco use
- Excessive alcohol use
- Obesity
- Exposure to certain toxins
Epidemiology:
- More common in males
- More common in people of African and European ancestry
- Typically presents after age 55
Presentation:
- Cough
- Sore throat
- Dyspnea
- Dysphagia
- Dysphonia
- Palpable mass
- Weight loss
- Ear pain
Prognosis:
- Laryngeal cancer 5-year relative survival rates are based on the part of the larynx affected
- Supraglottis
- Localized: 60%
- Regional: 48%
- Distant: 30%
- All SEER stages combined: 47%
- Glottis
- Localized: 85%
- Regional: 56%
- Distant: 48%
- All SEER stages combined: 78%
- Subglottis
- Localized: 60%
- Regional: 50%
- Distant: 45%
- All SEER stages combined: 51%
