Musculoskeletal CT Appearances
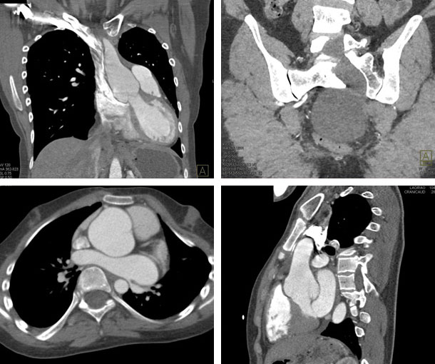
Marfan Syndrome CT Findings
- Widening of the dural sac (dural ectasia)
- Dilation of the aortic root
- Dissection of the aorta (usually thoracic aorta)
- Aortic aneurysm
- Dilation of the main pulmonary artery
- Pectus excavatum or pectus carinatum
- Scoliosis
- May have acetabular protrusion

Other Information About Marfan Syndrome
Etiology:
- Caused by an FBN1 mutation
- 1 in 4 Marfan Syndrome patients develop the mutation spontaneously
Epidemiology:
- No known prevalence among race or sex
Presentation:
- Heart palpitations
- Aortic root aneurysms
- Disproportionately long arms, legs, fingers and toes
- Protruding or sunken sternum
- Crowded teeth
- Scoliosis, dural ectasia
- Striae atrophicae
- Flat feet
Prognosis:
- Marfan Syndrome has no cure but symptoms can be managed
- Patients should be monitored for complications
