Musculoskeletal CT Appearances
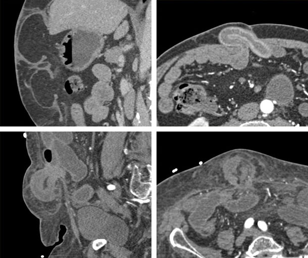
Ventral Hernia CT Findings
- Includes all hernias in anterior and lateral abdominal walls (excluding inguinal hernias)
- Large, typically defined as > 10cm
- Ratio of hernia sac volume to residual abdominopelvic cavity (“loss of domain”) of 20% or more
- Diaphragmatic descent

Other Information About Ventral Hernia
Etiology:
- Abdominal surgery
- Certain patients may have weak abdominal muscles which makes them more susceptible to ventral hernia
- Pregnancy
- Obesity
- Strain on the abdominal wall, which can be due to forced urination/defecation, frequent coughing, strenuous activities, heavy lifting, etc
Epidemiology:
- Unlike an inguinal hernia, neither sex is more likely to develop a ventral hernia
Presentation:
- Palpable mass
- Abdominal pain when moving
- Constipation
Prognosis:
- Surgery is needed to repair a ventral hernia
- Untreated hernias that strangulate increase morbidity significantly
