Musculoskeletal CT Appearances
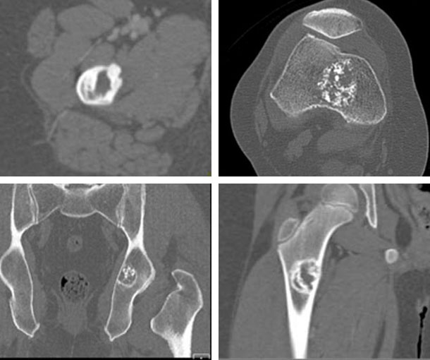
Enchondroma CT Findings
- Most common in the hands and feet but can also occur in the long bones
- Typically within the medullary cavity
- Small lesions (< 5cm)
- Calcifications may create stippled, popcorn, or ring-and-arc signs
- Soft tissue is never involved

Other Information About Enchondroma
Etiology:
- Unknown
Epidemiology:
- Typically presents between ages 10-30
Presentation:
- Typically asymptomatic
- Weakened or painful bones, particularly in the extremities
Prognosis:
- Patients may need surgery or bone grafting for painful or malignant tumors
