Musculoskeletal CT Appearances
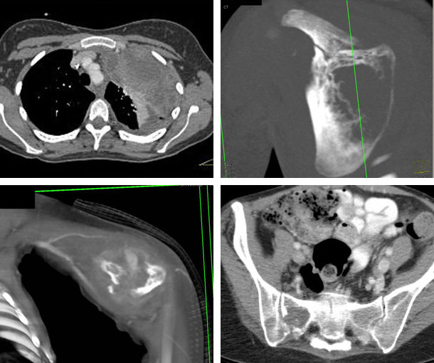
Ewing Sarcoma CT Findings
- Destruction of the bone (“moth eaten” pattern)
- Lytic lesions with poor margination
- Most common in the pelvis, long bones, and ribs
- Isodense
- Usually does not calcify
- Medullary canal is usually involved
- Periosteal new bone formation
- Soft tissue mass that usually does not calcify

Other Information About Ewing Sarcoma
Etiology:
- Unknown
Epidemiology:
- Typically presents in childhood or adolescence
- More common in males
- More common in patients with European ancestry
Presentation:
- Palpable mass
- Fracture
- Bone pain that may be nocturnal
- Swelling or tenderness
- Fever
- Fatigue
- Weight loss
Prognosis:
- The 5-year relative survival rates are:
- Localized: 81%
- Regional: 77%
- Distant: 41%
- All SEER stages combined: 65%
Related Pearls: Bone Tumors
