Musculoskeletal CT Appearances
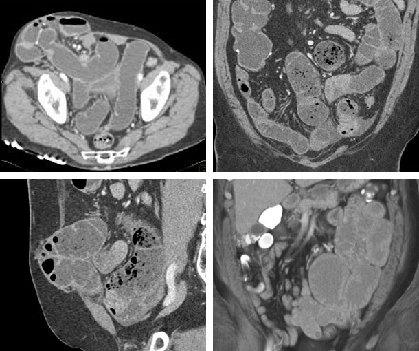
Incisional Hernia CT Findings
- Protrusion of abdominal viscera through a defect in the myofascial tissues of the abdominal wall
- Results from surgery or trauma
- Can be at site of trocar placement from laparoscopic surgery

Other Information About Incisional Hernia
Etiology:
- Laparotomy
- Can also occur after laparoscopic or robotic surgery
Epidemiology:
- Any patient with a history of laparotomy is susceptible to an incisional hernia
Presentation:
- Palpable mass near the site of previous incision
- Pain that ranges from mild discomfort to severe pain
- Pain that occurs when moving
Prognosis:
- Surgery is needed to repair an incisional hernia
- Incisional hernias have a higher rate of recurrence
