Musculoskeletal CT Appearances
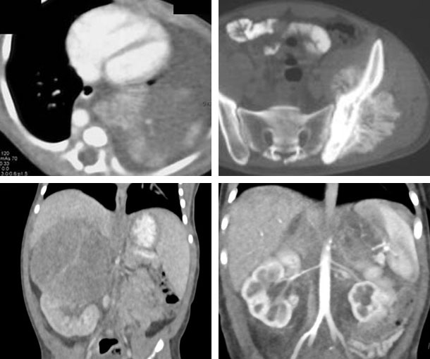
Neuroblastoma CT Findings
- Most commonly found in the retroperitoneum but can be seen in many parts of the body
- Commonly arise in the adrenal gland
- Large and heterogeneous
- Lobulated mass
- Most cases have calcification
- Little enhancement
- May have areas of low attenuation
- Encasement and/or compression of abdominal vessels
- Usually occur in pediatric patients but can occur in adults

Other Information About Neuroblastoma
Etiology:
- Unknown
Epidemiology:
- Median age of presentation is 17 months
Presentation:
- Palpable mass
- Abdominal distension
- Diarrhea and/or constipation
- Bulging eyes that may have surrounding muscle twitching or dark circles
- Bone and/or back pain
- Pallor
- Leg weakness
- Difficulty breathing
- Can cause Horner’s syndrome
Prognosis:
- The survival rates have an International Neuroblastoma Risk Group Staging System (INRGSS) rather than staging
- The relative 5-year survival rate for neuroblastoma is:
- Low risk: 95%
- Intermediate risk: 95%
- High risk: 60%
Related Pearls: Malignant Adrenal Tumor
