Musculoskeletal CT Appearances
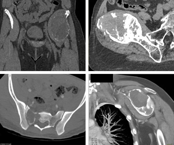
Giant Cell Tumor CT Findings
- Most common in long bones
- Lytic lesion centered in the epiphysis
- Lesions begin in the intramedullary region of the major long bones
- Typically develop near the articular cartilage
- Osteolytic destruction
- Bone shells may be complete or incomplete
- Circumscribed borders
- Uniform cystic density
- No calcification
- May extend into the soft tissue and form soft tissue masses as the tumor progresses
- More difficult to differentiate GCT from other osteolytic processes on CT in bones other than the long bones

Other Information About Giant Cell Tumors
Etiology:
- Unknown
- Associated with Paget’s disease
Epidemiology:
- Slightly more common in females
- Typically presents before age 50
Presentation:
- Palpable mass
- Fluid buildup in joint(s)
- Limited movement of joint(s)
- Swelling and/or pain of joint(s)
- Bone fractures
Prognosis:
- Giant cell tumors are usually benign but must be removed to prevent bone and tissue damage
- Recurrence averages around 33% so patients must be monitored
Related Pearls: Bone Tumors
