Kidney CT Appearances
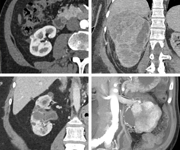
Renal Cell Carcinoma (RCC) CT Findings
- Solid or cystic mass
- RCCs may be isoattenuating, hypoattenuating, or hyperattenuating on non-contrast CT
- RCCs usually have decreased attenuation on contrast enhanced CT
- May have calcification
- Subtypes of RCC include Clear Cell, Papillary, Chromophobe, Collecting Duct, and “Unclassified”

Other Information About Renal Cell Carcinoma (RCC)
Etiology:
- Unknown
- RCC is associated with smoking, obesity, hypertension, chronic kidney disease, long-term NSAID usage, Von Hippel-Lindau, and family history
Epidemiology:
- More common in males
- Typically presents in the 7th-8th decades of life
Presentation:
- Typically asymptomatic
- Hematuria
- Flank pain
- Weight loss
Prognosis:
- The 5-year relative survival rates for all kidney cancers are:
- Localized: 93%
- Regional: 75%
- Distant: 18%
- All SEER stages combined: 78%
Related Pearls: Renal Cell Carcinoma
Related Lectures:
CT Evaluation of Hematuria: A Practical Approach Part 1
CT of the Acute Abdomen: GU Applications Part 1
MDCT/CTA Evaluation of the Suspected Renal Mass: Key Differential Clues - Part 1
CT Evaluation of Hematuria: A Practical Approach - Part 4
Evaluation of the IVC: Spectrum of Disease - Part 1
MDCT/CTA Evaluation of the Suspected Renal Mass: Key Differential Diagnosis Points - Part 1
MDCT/CTA Evaluation of the Suspected Renal Mass: Key Differential Diagnosis Points - Part 3
Renal Tumors Beyond Renal Cell Carcinoma: Pearls, Pitfalls and Key Diagnostic Findings - Part 1
