
- 3
- 1
- 6
To Quiz Yourself: Select OFF by clicking the button to hide the diagnosis & additional resources under the case.
Quick Browser: Select ON by clicking the button to hide the additional resources for faster case review.
CASE NUMBER
53
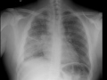
Diagnosis
Miliary Tuberculosis (TB) on X-ray
Note
Patient with miliary tuberculosis. Chest radiographs demonstrate diffuse micronodular infiltrates compatible with miliary TB. There is also an alveolar infiltrate with cavitation in the superior segment of the right lower lobe. A partially loculated right pleural effusion is also noted.
THIS IS CASE
53
OF
129
