
- 3
- 1
- 6
To Quiz Yourself: Select OFF by clicking the button to hide the diagnosis & additional resources under the case.
Quick Browser: Select ON by clicking the button to hide the additional resources for faster case review.
CASE NUMBER
52
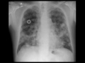
Diagnosis
Lung Metastases on Chest X-ray
Note
Chest x-ray in a patient with colon cancer demonstrates extensive bilateral lung metastases. A central venous catheter is also noted on the right.
THIS IS CASE
52
OF
129
