
- 2
- ,
- 3
- 8
- 1
To Quiz Yourself: Select OFF by clicking the button to hide the diagnosis & additional resources under the case.
Quick Browser: Select ON by clicking the button to hide the additional resources for faster case review.
CASE NUMBER
388
Diagnosis
Medulloblastoma
Note
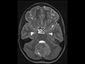
These images show a large mass in the posterior fossa in a pediatric patient which demonstrates heterogeneous enhancement and restricted diffusion. There is significant mass effect on the inferior brainstem resulting in crowding of the foramen magnum. Mild perilesional T2 FLAIR hyperintensity is compatible with vasogenic edema. CT which is not depicted here shows the mass to be hyperdense. Findings are compatible with a medulloblastoma which was proven on pathology. Medulloblastomas are WHO grade IV with 4 major molecular subgroups with varying prognoses. This particular mass was positive for the Sonic Hedgehog (SHH) subtype which has an intermediate prognosis.
THIS IS CASE
388
OF
396
