
- 2
- ,
- 3
- 8
- 1
To Quiz Yourself: Select OFF by clicking the button to hide the diagnosis & additional resources under the case.
Quick Browser: Select ON by clicking the button to hide the additional resources for faster case review.
CASE NUMBER
386
Diagnosis
Corpus Callosum Agenesis
Note
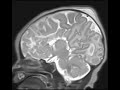
These images obtained as an ultrafast protocol for a newborn infant show the characteristic features of agenesis of the corpus callosum (CC). The lateral ventricles are parallel and on coronal imaging are reminiscent of bull horns. The occipital horns are dilated and have a colpocephalic appearance. The third ventricle is elevated and contiguous with the interhemispheric fissure. On sagittal imaging, the cingulate gyrus is absent. Incidentally noted is caput succedaneum. Agenesis of the CC brain is commonly sporadic and can be seen with other brain malformations such as Dandy Walker.
THIS IS CASE
386
OF
396
