
- 2
- ,
- 3
- 8
- 1
To Quiz Yourself: Select OFF by clicking the button to hide the diagnosis & additional resources under the case.
Quick Browser: Select ON by clicking the button to hide the additional resources for faster case review.
CASE NUMBER
369
Diagnosis
Choroid Plexus Xanthogranuloma
Note
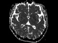
These images show a T2 hyperintense, T2 FLAIR hyperintense, T1 hypointense, non-enhancing mass in the atrium of the right lateral ventricle which is bright on diffusion weighted imaging and has a central area of low ADC value compatible with restricted diffusion. The differential diagnosis may include a parasitic cyst, arachnoid cyst, or choroid plexus cyst or xanthogranuloma. This is a choroid plexus xanthogranuloma which is thought to result from cystic degeneration of the choroid plexus with possible hemorrhage which ultimately fills with cholesterols crystals, calcific deposits, and macrophages resulting in a gelatinous cyst. The restricted diffusion is likely secondary to the high protein content and should not be confused for a neoplasm.
THIS IS CASE
369
OF
396
