
- 2
- ,
- 3
- 8
- 1
To Quiz Yourself: Select OFF by clicking the button to hide the diagnosis & additional resources under the case.
Quick Browser: Select ON by clicking the button to hide the additional resources for faster case review.
CASE NUMBER
370
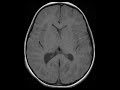
Diagnosis
Tuberous Sclerosis
Note
There are multiple T2 FLAIR hyperintense non-enhancing cortical and subcortical lesions as well as multiple subependymal nodules which demonstrate heterogeneous T2 FLAIR signal and enhancement with increased susceptibility. Findings are compatible with the “tubers” or hamartomas of tuberous sclerosis with the subependymal nodules demonstrating increased susceptibility compatible with calcification. In addition to these findings, other imaging features include areas of “cystoid” degeneration and white matter migration lines. The classic clinical picture is that of facial angiofibromas, seizures, and mental retardation.
THIS IS CASE
370
OF
396
