
- 2
- ,
- 3
- 8
- 1
To Quiz Yourself: Select OFF by clicking the button to hide the diagnosis & additional resources under the case.
Quick Browser: Select ON by clicking the button to hide the additional resources for faster case review.
CASE NUMBER
368
Diagnosis
Pericallosal Lipoma
Note
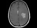
These images show a midline pericallosal T1 hyperintense, T2 FLAIR hyperintense mass which is hypointense on T2 fat saturated images compatible with a lipoma. This finding is incidental as the patient is being followed for the larger, more ominous heterogeneously enhancing mass with perilesional edema in the left cerebral hemisphere compatible with a glioblastoma. The pericallosal location for this lipoma is the most common site for intracranial lipomas and can be seen with anomalies of the corpus callosum.
THIS IS CASE
368
OF
396
