
- 2
- ,
- 3
- 8
- 1
To Quiz Yourself: Select OFF by clicking the button to hide the diagnosis & additional resources under the case.
Quick Browser: Select ON by clicking the button to hide the additional resources for faster case review.
CASE NUMBER
337
Diagnosis
Capillary Telangiectasia
Note
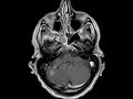
These images demonstrate a subcentimeter focus of brush-like enhancement with ill-defined margins in the right aspect of the pons without corresponding T2 or T2 FLAIR abnormality. In addition, there is an enhancing mass in the right cerebellar hemisphere. This patient had a history of prostate cancer. The pontine lesion is most consistent with capillary telangiectasia and the cerebellar lesion is consistent with metastasis. Capillary telangiectasia is a common finding that represents dilated capillaries with normal intervening brain. Up to 50% may have associated T2 abnormality. In this case it was important to differentiate this lesion from metastasis for surgical or radiation planning.
THIS IS CASE
337
OF
396
