
- 2
- ,
- 3
- 8
- 1
To Quiz Yourself: Select OFF by clicking the button to hide the diagnosis & additional resources under the case.
Quick Browser: Select ON by clicking the button to hide the additional resources for faster case review.
CASE NUMBER
335
Diagnosis
Intracranial Aspergillosis
Note
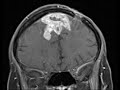
These images show a large multilobulated, enhancing, markedly T2 hypointense mass centered at the anterior falx cerebri with extension in the parasagittal bilateral frontal lobes with extensive surrounding T2 FLAIR hyperintensity compatible with vasogenic edema. The mass contains several areas of peripheral enhancement and central restricted diffusion which are compatible with abscesses. There is evidence of invasion into the superior sagittal sinus. Given the marked T2 hypointensity of the mass-like components invasive fungal abscesses lead the differential. Pathology confirmed this finding and showed aspergillus.
THIS IS CASE
335
OF
396
