
- 2
- ,
- 3
- 8
- 1
To Quiz Yourself: Select OFF by clicking the button to hide the diagnosis & additional resources under the case.
Quick Browser: Select ON by clicking the button to hide the additional resources for faster case review.
CASE NUMBER
338
Diagnosis
Pituitary Macroadenoma
Note
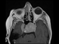
These images show a very large avidly enhancing mass expanding the sella and extending into the suprasellar cistern resulting in severe mass effect on the optic apparatus and third ventricle. The mass also extends posteriorly splaying the midbrain. Centrally in the suprasellar mass there is T1 hyperintensity and increased susceptibility compatible with hemorrhage. There is evidence of invasion into the cavernous sinuses with tumor encasing the cavernous and supraclinoid internal carotid arteries without narrowing them. There is also mass effect of the anteromedial right temporal lobe secondary to marked tumor expansion of the right cavernous sinus. These findings are compatible with a giant pituitary macroadenoma with internal hemorrhage which was confirmed on pathology. Differential considerations at the time of imaging included papillary subtype craniopharyngioma and a mass arising from the clivus or sphenoid sinus which were considered less likely. This patient undoubtedly presented with visual changes. Peak incidence is in young adults 20-40 year old.
THIS IS CASE
338
OF
396
