
- 2
- ,
- 3
- 8
- 1
To Quiz Yourself: Select OFF by clicking the button to hide the diagnosis & additional resources under the case.
Quick Browser: Select ON by clicking the button to hide the additional resources for faster case review.
CASE NUMBER
319
Diagnosis
Mitochondrial Deletion
Note
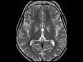
These images demonstrate T2 FLAIR hyperintensity within the bilateral globus pallidus, thalami, periventricular white matter, midbrain, and dorsal pons. In addition there are areas of subcortical and periventricular white matter T2 FLAIR hyperintensity. Many of these foci demonstrate restricted diffusion compatible with ischemia. This patient has a history of mitochondrial DNA deletion syndrome and presented with worsening ataxia. Findings for mitochondrial deletions generally involve the bilateral deep gray matter and peripheral white matter as seen here. If spectroscopy is performed, you would expect to find elevated lactate levels.
THIS IS CASE
319
OF
396
