
- 2
- ,
- 3
- 8
- 1
To Quiz Yourself: Select OFF by clicking the button to hide the diagnosis & additional resources under the case.
Quick Browser: Select ON by clicking the button to hide the additional resources for faster case review.
CASE NUMBER
320
Diagnosis
Colloid Cyst
Note
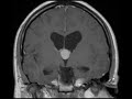
These MR images show a T1 hyperintense, T2 hypointense unilocular mass located in the foramen of Monro. The mass does not enhance or restrict diffusion. This location and imaging appearance are classic for a colloid cyst. These patients can present with positional headaches and/or obstructive hydrocephalus. If symptomatic, these lesions are removed surgically. Aspiration may fail if the lesion is too viscous as might be the case with this lesion which is T2 hypointense.
THIS IS CASE
320
OF
396
