
- 2
- ,
- 3
- 8
- 1
To Quiz Yourself: Select OFF by clicking the button to hide the diagnosis & additional resources under the case.
Quick Browser: Select ON by clicking the button to hide the additional resources for faster case review.
CASE NUMBER
318
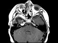
Diagnosis
Neurofibromatosis Type 2
Note
These images demonstrate bilateral small enhancing masses in the internal auditory canals compatible with vestibular schwannomas, a characteristic feature of Neurofibromatosis Type 2. In addition, there are enhancing masses in the right Meckel’s cave and left Cavernous sinus, both of which are likely additional schwannomas. In the spine, we see a cystic faintly enhancing lesion near the conus which most likely represents an ependymoma. NF-2 is also known as MISME or multiple inherited schwannomas, meningiomas, and ependymomas. The differential for isolated bilateral masses of the IACs should include metastasis in patient with a history of cancer or granulomatous diseases such as Sarcoidosis.
THIS IS CASE
318
OF
396
