
- 2
- ,
- 3
- 8
- 1
To Quiz Yourself: Select OFF by clicking the button to hide the diagnosis & additional resources under the case.
Quick Browser: Select ON by clicking the button to hide the additional resources for faster case review.
CASE NUMBER
206
Diagnosis
Medulloblastoma and Syrinx
Note
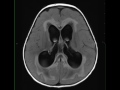
4-year-old female with intractable nausea, vomiting, and severe papilledema. There is a large solid and cystic mass which arises from the roof of the fourth ventricle with inferior effacement and displacement. The mass restricts diffusion, extends through and enlarges the foramen of Luschka, and avidly enhances. There is moderate supratentorial hydrocephalus with a large syrinx in the mid to lower thoracic spinal region. The differential diagnosis includes brainstem glioma, ependymoma, and pilocytic astrocytoma, as well as medulloblastoma. The findings are most compatible with a medulloblastoma. Medulloblastomas are the second most common posterior fossa tumor in children. The typical presentation includes midline masses in the roof of the fourth ventricle with mass effect and hydrocephalus. Treatment is with surgical resection with adjuvant chemoradiation therapy.
THIS IS CASE
206
OF
396
