
- 2
 - ,
 - 3
 - 8
 - 1
 
To Quiz Yourself: Select OFF by clicking the button to hide the diagnosis & additional resources under the case.
Quick Browser: Select ON by clicking the button to hide the additional resources for faster case review.
CASE NUMBER
  204
  
  
	
    Diagnosis
  
Brain Abscesses, Multiple
    Note
  
  
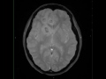
    13-year-old male with a gradually obtunded mental status and fevers of up to 105 degrees Fahrenheit. Numerous round lesions are demonstrated within the supratentorial compartment with T1-hypointense and FLAIR-hypointense central signal intensity. The lesions have a thin margin of T1-isointense signal, and are surrounded by vasogenic edema. There is prominent diffusion restriction within the central portions of the lesions with faint linear regions of signal loss in the walls of the lesions on the susceptibility weighted images. The post contrast images demonstrate peripheral enhancement. The findings are compatible with multiple brain abscesses. There are four distinct stages in the development or evolution of a brain abscess consisting of early cerebritis, late cerebritis, early capsule and late capsule formation. After biopsy, this patient grew a Streptococcus sp., but a primary site of infection was never determined. Had the patient not presented in a septic state, the differential would have included: metastatic disease, subacute infarction, demyelinating disease and radiation necrosis.
  
  
	 THIS IS CASE
     204
       
	    OF
		396
   
       
     
   