
- 2
- ,
- 3
- 8
- 1
To Quiz Yourself: Select OFF by clicking the button to hide the diagnosis & additional resources under the case.
Quick Browser: Select ON by clicking the button to hide the additional resources for faster case review.
CASE NUMBER
205
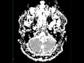
Diagnosis
Brainstem Glioma
Note
8-year-old female with a history of dysarthria and seizures. There is an infiltrative T1-hypointense, T2/FLAIR hyperintense mass within the left brachium pontis, left dorsal pons, and left dorsal medulla. The lesion demonstrates nodular and more curvilinear regions of enhancement without diffusion restriction. The differential diagnosis includes brainstem glioma, pilocytic astrocytoma, ependymoma and medulloblastoma. The findings are most compatible with a diffuse brainstem glioma, which account for about 1/4 of all posterior fossa tumors, and present most commonly between 7 and 9 years of age. Common clinical presentations include ataxia, cranial nerve palsies, long tract signs and hydrocephalus. Lesions can be associated with neurofibromatosis-1. Treatment and prognosis depends on tumor type and location.
THIS IS CASE
205
OF
396
