
- 2
- ,
- 3
- 8
- 1
To Quiz Yourself: Select OFF by clicking the button to hide the diagnosis & additional resources under the case.
Quick Browser: Select ON by clicking the button to hide the additional resources for faster case review.
CASE NUMBER
187
Diagnosis
Tectal Plate Glioma
Note
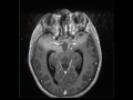
12-year-old male with chronic headaches. There is an infiltrative T1-hypointense mass centered on the tectal plate and periaqueductal gray matter of the midbrain resulting in complete effacement of the cerebral aqueduct. The lesion is FLAIR-hyperintense, and extends rostrally into the left greater than right thalami. There is also extension into the left mesial temporal lobe, including the hippocampus. There is no enhancement within the mass. There is mild supratentorial hydrocephalus secondary to the aqueductal obstruction. The findings are compatible with a tectal plate glioma. Gliomas of the brainstem can be subcategorized into two classes. The first class consists of infiltrative pontine lesions, which are rapidly progressive. The second category includes more well defined gliomas of the midbrain, tectum, and medulla. The latter class are more indolent in nature. Tectal gliomas are infamous for causing obstructive hydrocephalus, even at a relatively small size. There may be both cystic and enhancing components.
THIS IS CASE
187
OF
396
