
- 2
- ,
- 3
- 8
- 1
To Quiz Yourself: Select OFF by clicking the button to hide the diagnosis & additional resources under the case.
Quick Browser: Select ON by clicking the button to hide the additional resources for faster case review.
CASE NUMBER
186
Diagnosis
Glioblastoma
Note
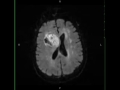
68-year-old male with new onset seizures. A centrally hemorrhagic and necrotic lesion is demonstrated within the right frontal lobe and extending into the right striatocapsular region. The lesion effaces the frontal horn and body of the right lateral ventricle with contact and leftward displacement of the septum pellucidum. There are components of the lesion which demonstrate restricted diffusion and heterogeneous contrast enhancement. The differential diagnosis includes glioblastoma, metastatic disease, and CNS lymphoma. The findings are most compatible with a gliobastoma given its solitary nature and lack of increased blood volume on the perfusion maps, not shown. The supratentorial compartment is the most common location for glioblastoma to arise. There are two types, de novo lesions and lesions which degenerate from lower grade astrocytomas. Peak age of occurrence is between 45 and 75 years of age.
THIS IS CASE
186
OF
396
