
- 2
- ,
- 3
- 8
- 1
To Quiz Yourself: Select OFF by clicking the button to hide the diagnosis & additional resources under the case.
Quick Browser: Select ON by clicking the button to hide the additional resources for faster case review.
CASE NUMBER
188
Diagnosis
Pineal Tumor, Nongerminomatous Germ Cell Tumor
Note
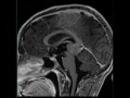
8-year-old male with precocious puberty and paralysis of upward gaze. There is a FLAIR-hyperintense mass with a central hemorrhagic component within the enlarged pineal gland. The lesion is both solid and cystic. It results in effacement of the posterior aspect of the third ventricle, as well as the midbrain tectum and cerebral aqueduct with mild supratentorial hydrocephalus. The lesion is hypercellular, as demonstrated on the ADC map. It demonstrates heterogeneous postcontrast enhancement. The two main differentials include pineal parenchymal tumors and germ cell neoplasms. Within the germ cell neoplasm classification, there are germinomatous and nongerminomatous lesions. Nongerminomatous lesions include teratoma with malignant transformation, embryonal carcinoma, yolk sac tumor and choriocarcinoma. This was a case of a nongerminomatous germ cell tumor. Most lesions will be hypo- to isonintense to gray matter with regions of T1 shortening and heterogeneous enhancement. CSF dissemination may be seen. If calcifications are present, they are typically engulfed.
THIS IS CASE
188
OF
396
