
- 2
- ,
- 3
- 8
- 1
To Quiz Yourself: Select OFF by clicking the button to hide the diagnosis & additional resources under the case.
Quick Browser: Select ON by clicking the button to hide the additional resources for faster case review.
CASE NUMBER
178
Diagnosis
Basilar Tip Thrombosis (top of the basilar syndrome)
Note
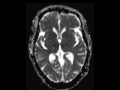
This is a 78-year-old female with altered mental status. The axial T2/FLAIR-weighted images demonstre subtle regions of T2 signal prolongation within the bilateral thalami which correspond to acute infarcts on the DWI and ADC maps. The contrast enhanced perfusion maps demonstrate delayed transit within the right and left posterior cerebral artery territories. This case demonstrates top of the basilar syndrome, which occurs when there is thromboembolic occlusion of the distal basilar artery. On clinical examination, the patient may demonstrate visual and occulomotor deficits, behavioral abnormalities, somnolence, hallucinations and dreamlike behavior. Motor symptoms are usually otherwise absent. The differential of bilateral thalamic diffusion restriction includes artery of Percheron infarction, bilateral internal cerebral vein thrombosis, metabolic and infectious causes.
THIS IS CASE
178
OF
396
