
- 2
- ,
- 3
- 8
- 1
To Quiz Yourself: Select OFF by clicking the button to hide the diagnosis & additional resources under the case.
Quick Browser: Select ON by clicking the button to hide the additional resources for faster case review.
CASE NUMBER
179
Diagnosis
Grey Matter Heterotopia
Note
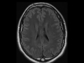
33-year-old male with a history of recurrent seizures. On the coronal T1 and inversion recovery sequences, there is an ovoid focus within the periventricular white matter of the left frontal horn which is hypointense to surrounding white matter but isontense to the cortical grey matter. The nodule is also isointense to the cortical grey matter on the subsequent FLAIR and T2-weighted images. The findings are compatible with cortical grey matter heterotopia. Grey matter heterotopia results from the interruption of the normal neuronal migration from periventricular region to the cortex. Grey matter heterotopias can be subdivided into nodular heterotopias and diffuse heterotopias. The nodular heterotopias consist of subependymal heterotopia, this case, and sucortical heteroptopias. Diffuse heterotopias consist of band heterotopia, lissencephaly, and laminar heterotopia.
THIS IS CASE
179
OF
396
