
- 2
- ,
- 3
- 8
- 1
To Quiz Yourself: Select OFF by clicking the button to hide the diagnosis & additional resources under the case.
Quick Browser: Select ON by clicking the button to hide the additional resources for faster case review.
CASE NUMBER
176
Diagnosis
Vasospasm Secondary to Subarachnoid Hemorrhage
Note
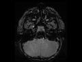
This case demonstrates vasospasm in the setting of acute subarachnoid hemorrhage. On the axial FLAIR sequence, there is abnormal hyperintensity in the suprasellar, ambient, and interpeduncular cisterns compatible with hemorrhage in the basal cisterns. The axial T2 and susceptibility weighted images demonstrate abnormal hypointense signal within the prepontine space and extending towards the right cerebellopontine angle cistern. The postcontrast sagittal T1-weighted image demonstrates hemorrhage in the prepontine and premedullary spaces. The 3-D MIP reconstructions from the 3D time of flight MRA of the head demonstrates smooth concentric marked narrowing of the distal vertebral arteries, vertebral confluence, and proximal basilar artery. Along with rebleeding, cerebral vasospasm is a major source of morbidity and mortality in the setting of acute subarachnoid hemorrhage. Symptoms typically are present from 4-10 days following the hemorrhage.
THIS IS CASE
176
OF
396
