
- 2
- ,
- 3
- 8
- 1
To Quiz Yourself: Select OFF by clicking the button to hide the diagnosis & additional resources under the case.
Quick Browser: Select ON by clicking the button to hide the additional resources for faster case review.
CASE NUMBER
173
Diagnosis
Cerebellopontine Angle Epidermoid
Note
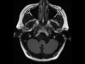
Centered within the left cerebellopontine angle and with extension into the premedullary space, there is a T1-hypointense, FLAIR-hypointense, T2-hyperintense, nonenhancing mass with diffusion restriction. There is deformity and posterior displacement of the inferior aspects of the left greater than right cerebellar hemispheres. The findings are compatible with an epidermoid. Epidermoids are secondary to inclusions of ectodermal tissue within the CNS. Epidermoids contain only squamous epithelium. Epidermoids can appear like a complex arachnoid cyst, but will markedly restrict diffusion. Differential diagnosis includes craniopharyngioma, arachnoid cyst, and lipoma.
THIS IS CASE
173
OF
396
