
- 2
- ,
- 3
- 8
- 1
To Quiz Yourself: Select OFF by clicking the button to hide the diagnosis & additional resources under the case.
Quick Browser: Select ON by clicking the button to hide the additional resources for faster case review.
CASE NUMBER
171
Diagnosis
Tethered Cord
Note
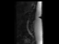
This is a case of spinal cord tethering associated with a film lipoma. On MR imaging, there is a moderate leftward convex scoliosis of the lower lumbar spine. The conus tip lies at the mid-L4 vertebral level on the sagittal T2-weighted images. On the sagittal and axial T1-weighted images, there is a lipoma within the filum. There is also a combination of hypoplasia and aplasia of the posterior elements from approximately the L4 vertebral level to the mid-sacral spinal region. Spinal cord tethering can be either primary or secondary. In the primary setting, cord tethering occurs as an isolated anomaly. In the secondary setting, the tethering is associated with additional anomalies such as a myelomeningocele or film terminale lipoma, as in this case. Tethering is a result of discrepant growth between the vertebral column and the actual spinal cord resulting in stretching.
THIS IS CASE
171
OF
396