
- 2
- ,
- 3
- 8
- 1
To Quiz Yourself: Select OFF by clicking the button to hide the diagnosis & additional resources under the case.
Quick Browser: Select ON by clicking the button to hide the additional resources for faster case review.
CASE NUMBER
161
Diagnosis
Chondrosarcoma, Skull Base
Note
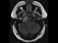
This is a 56-year-old female who presented for dysphagia, diplopia, and episodic tinnitus. There is a T2-hyperintense mass centered within the right petroclival region, and involving the right hypoglossal canal, right jugular foramen, and extends to involve meckel’s cave on the right. There is minimal extension to the posterior aspect of the cavernous sinus on the right. The lesion is T1-hyperintense and avidly enhances. There are no suspicious regions of diffusion restriction. Skull base chondrosarcoma are typically off-midline in location, centered on the petro-occipital fissure. Chondroid matrix calcification is present in 50% of cases. The lesion will usually demonstrate a sharp, narrow, nonsclerotic transition zone on CT, as this lesion did.
THIS IS CASE
161
OF
396
